首页
我的
成人痒疹症状图片
本文由有来医生原创,经专业医师审核校对
所有图片质量和准确性经专业医生严格审查
李彦
主任医师 | 审核医师
河南省人民医院
|
皮肤科
成人痒疹亦称为暂时性痒疹、一过性痒疹,基本皮损为小米至绿豆大小、淡红或肤色、多发性坚实圆形或顶部略扁平的丘疹,散在分布,伴剧烈瘙痒症状。本病与超敏反应有关,可在医生的指导下给予药物治疗。
成人痒疹症状图片
前额
丘疹
成人痒疹额头上有风团样丘疹图
成人痒疹患者额头上会长出风团样的丘疹,而丘疹整体为红色,部分丘疹上方有破损,也有部分丘疹顶部有结痂,患者会同时出现面部的瘙痒感。
面部
小红疙瘩
成人痒疹面部有散在小红疙瘩图
成人痒疹患者面部出现很多红疙瘩,而疙瘩的大小不一且分布不均匀,会有明显的瘙痒感。在面部的疙瘩褪去后,多会遗留有暗红色的色素沉着。
颈部
风团
成人痒疹颈部有红色风团图
成人痒疹皮损表现为淡红色的坚实风团,可单独发生,丘疹隆起于皮肤表面,形状不规则,同时伴有剧烈瘙痒,应及时就医,避免症状加重。
侧颈
小疙瘩
成人痒疹脖子侧面有小疙瘩图
成人痒疹患者的脖子侧面有米粒大小的小疙瘩,颜色为红色,呈半球形隆起,大部分小包聚集但不融合,上面有脓头,一般数月后可痊愈,搔抓后有红肿、发炎等风险。
背部
小红疙瘩
成人痒疹后背密密麻麻小红疙瘩图
成人痒疹患者的背部皮肤上长出数量较多的红疙瘩,疙瘩分布密集且没有规律,颜色深浅不一,周边有红晕,局部疙瘩消退,遗留暗红色、浅红色斑块。
背部
疙瘩
成人痒疹后背散在红疙瘩图
成人痒疹患者的背部长出散在分布的红疙瘩,边界不清晰,呈淡红色,不均匀,搔抓后疙瘩出现进一步的增大,可外涂维A酸类的药物治疗。
背部
丘疹
成人痒疹后背长很多红色疹子图
成人痒疹好发于后背,为小米至绿豆大小、淡红色或肤色的多发性坚实圆形,或顶部略扁平的丘疹,散在分布,但不融合,瘙痒剧烈,患者容易反复搔抓,发病前常有疲乏、头痛等症状。
背部
疙瘩
成人痒疹背部有许多红疙瘩图
成人痒疹患者的背部长几个红色的疙瘩,疙瘩呈黄豆大小,边缘有明显的红晕,且红晕面积较大,微微凸起。患者伴随明显的痒感,在搔抓后可以缓解。
背部
丘疹 · 结痂
成人痒疹后背有很多丘疹上面有结痂图
成人痒疹的患者在后背上出现数个独立存在的丘疹,颜色为暗红色,质地坚硬。由于皮损瘙痒剧烈可导致患者反复抓挠,引起皮肤表面破损、结痂,同时有顶端发白的脓性丘疹存在,建议避免搔抓刺激。
背部
小疙瘩
成人痒疹后背有很多个小小疙瘩样皮疹图
成人痒疹患者后背有数量较多的小红疙瘩样皮疹,红疙瘩表面光滑有反光,分布并不规则,而且红疙瘩可以聚集并互相融合。但患者皮损部位会有明显的瘙痒感,搔抓后皮肤易破损并出现结痂。
腋窝
丘疹
成人痒疹腋窝处有零散的丘疹图
成人痒疹常发生在腋窝的位置,有直径1-5cm的肤色坚实丘疹,聚集或分散分布,但很难融合,如果因为瘙痒而抓挠,则容易出现风团样皮损及丘疱疹。
腹部
小红疙瘩
成人痒疹腹部有集中的小红疙瘩图
成人痒疹较常出现在腹部,皮损为米粒至绿豆大小的小红疙瘩,其质地较为坚实,呈半球形隆起,伴有明显的瘙痒感,患者抓挠后局部可因受损而留有皮肤色素沉着。
腹部
红斑
成人痒疹腹部有密密麻麻的红斑图
成人痒疹患者的腹部有密密麻麻的红斑,斑的颜色深浅不一,有淡红色、暗红色等,部分红斑之间相互融合形成更大的红斑,边界不清。
腰部
丘疹
成人痒疹腰部有散落的小米至绿豆大的疹子图
成人痒疹可出现在腰部,皮损表现为为小米至绿豆大小,呈淡红或肤色的丘疹,其质地坚实,多散在分布,少量聚集成簇但不融合,患者感觉瘙痒剧烈,抓挠后症状加剧。
腰部
疙瘩
成人痒疹腰部有许多红疙瘩图
成人痒疹患者腰部的皮肤上出现很多红疙瘩,分布并没有规律,但整体可以呈现为散在分布。同时可有明显的瘙痒感,搔抓后疙瘩多会增大、增多,除及时采取规范治疗外,日常还应注意皮肤的干燥、清洁。
腰部
红斑
成人痒疹腰部有一片形状不规则的红斑图
成人痒疹腰部会出现形状不规则的红斑,表面有凸起,中间有几个正常肤色的小点,红斑与周围组织的界限不清晰。随着疾病的发展,红斑会不断增多,面积也会扩大。
腰部
疙瘩
成人痒疹腰部红疙瘩图
成人痒疹患者的腰部长出很多疙瘩,疙瘩大小不一,分布没有规律且不均匀。颜色为红色,有痒感,同时在疙瘩退去后,可见有色素沉着。
胳膊
风团
成人痒疹胳膊风团样隆起图
成人痒疹患者的胳膊上出现鸡蛋大小的风团样隆起,隆起的皮肤颜色为淡红色,边界稍清,病变范围局限,触摸相比正常皮肤较硬,患者皮损消退后会反复发作。
胳膊
疙瘩
成人痒疹胳膊鼓起了红疙瘩图
成人痒疹患者典型皮损表现为红色的疙瘩,疙瘩近似圆形,有痒感,略微突出于皮肤表面。反复抓挠可能会出现皮肤的苔藓样变,以及皮肤变黑等症状,分布于患者的一侧胳膊。
胳膊
疙瘩
成人痒疹胳膊起了红色圆形大疙瘩图
成人痒疹患者的胳膊上长疙瘩,疙瘩颜色为红色,略高出皮肤。疙瘩表面有暗红色的血痂,边缘有红晕。随时间进展,可出现脱屑的表现。
胳膊
疙瘩
成人痒疹胳膊有几个红疙瘩图
成人痒疹表现为皮肤表面出现疙瘩,疙瘩为红色,体积近似绿豆大小。同时可以看到疙瘩表面有水疱,水疱中有澄清的液体,抓挠后可以流出。
胳膊
疙瘩
成人痒疹胳膊有聚积分布的红疙瘩图
成人痒疹患者的胳膊上时,皮肤表面会出现淡红色的疙瘩。疙瘩形状不规则,大小不一,不同的疙瘩之间可以相互融合,进而出现更大的疙瘩。
胳膊
小疙瘩
成人痒疹胳膊有许多小疙瘩图
成人痒疹患者胳膊的皮肤表面长出皮色的小疙瘩,疙瘩的大小不一,边缘泛红,明显突起,相邻的疙瘩之间相互融合成更大的疙瘩,或是连成片状。
胳膊
红斑
成人痒疹胳膊有一红斑图
成人痒疹患者胳膊的皮肤上出现红色的斑块,红斑的颜色较淡,略微深于正常皮肤,红斑顶上有血痂,随病情进展红斑颜色逐渐加深、变大。
胳膊
疙瘩
成人痒疹胳膊有散在红疙瘩图
痒疹表现为患者右胳膊出现散在分布的红疙瘩,疙瘩呈半球状隆起于皮肤表面,如黄豆大小,边界清楚,孤立存在,患者自觉有瘙痒感。
胳膊
小疙瘩
成人痒疹胳膊有许多小疙瘩图
成人发病于胳膊时会出现许多米粒至绿豆大小的丘疹,像小疙瘩一样,皮肤呈淡红色改变,密集分布但是没有相互融合,痊愈后容易复发。
胳膊
小疙瘩
成人痒疹胳膊内侧有几个圆形小疙瘩图
成人痒疹的症状表现为胳膊内侧皮肤粗糙,上面有直径1-2mm大小的疙瘩,顶端有小水疱,自觉有痒感,搔抓后破溃出现血痂,多因食物或药物过敏,蚊虫叮咬等原因引起。
胳膊
小疙瘩
成人痒疹胳膊内侧有小疙瘩图
成人痒疹常出现在胳膊内侧,皮损为1-3mm的小疙瘩,颜色轻微发红,高于皮面,互相不融合,触摸有颗粒感,自觉有痒感,后期常因反复搔抓而出现破损、苔藓样变。
胳膊
红点
成人痒疹胳膊上有圆形小红点图
成人痒疹典型症状为患者胳膊上出现小米到大米大小的红点,零散分布且不融合,还有几个褐色斑片,由于皮损有瘙痒感,应尽量避免抓挠,防止其留下瘢痕和色素沉着,可遵医嘱使用炉甘石洗剂缓解。
胳膊
疙瘩 · 结痂
成人痒疹胳膊有红疙瘩和结痂图
成人痒疹的皮损常反复出现,在患者胳膊上有明显的红疙瘩,呈风团样改变,周围有红晕包围,面积较大,同时有几个点状结痂存在,颜色为暗红色,多因反复搔抓并抓破皮肤引起。
胳膊
小疙瘩
成人痒疹胳膊内侧有分散的圆形小疙瘩图
成人痒疹皮肤呈泛发性,在胳膊内侧出现分散小疙瘩,呈圆形,颜色与周围皮肤相近,伴有剧烈的瘙痒感,出现前常有疲乏、头痛等症状,后期反复搔抓后出现苔藓样变、色素沉着。
胳膊
小红疙瘩
成人痒疹胳膊内侧有小红疙瘩图
成人痒疹患者的胳膊内侧出现聚集的小红疙瘩,直径在2-6mm之间,高于皮肤表面,互相间不融合,有强烈的瘙痒感,由医生指导外用炉甘石洗剂可起到一定的止痒效果。
胳膊
小红疙瘩
成人痒疹胳膊上有几个小红疙瘩图
成人痒疹早期症状减轻的表现为胳膊上有几个零散分布的小红疙瘩,呈小米粒至绿豆大小,直径一般在1-3mm。皮损伴有较强的瘙痒感,反复抓挠后常留有瘢痕。
胳膊
丘疹
成人痒疹胳膊上有两个丘疹图
成人痒疹在胳膊上较常见,观察到局部有两处皮损,为绿豆大小的坚实丘疹,呈圆形,同时其顶端破溃,颜色发红,而周围有色素沉着斑,多由于痒疹瘙痒感很强烈导致频繁抓挠所致。
胳膊
疙瘩
成人痒疹胳膊上有成片疙瘩图
痒疹患者胳膊上有多个疙瘩,会突出于皮肤表面,相邻的疙瘩可以相互融合,形成较大结节,顶端破溃后有褐色痂皮形成,患者会有明显瘙痒感。
胳膊
疙瘩 · 结痂
成人痒疹胳膊上有疙瘩且结痂图
痒疹患者胳膊上有多个散在分布的红色疙瘩,疙瘩顶端凸起,随病情发展出现小脓包,破溃后形成红褐色痂皮,局部有白色干燥的鳞屑覆盖。
胳膊
小疙瘩
成人痒疹胳膊有小疙瘩图
痒疹好发于胳膊等部位,表现为患者胳膊出现密密麻麻的如针尖大小的小疙瘩,疙瘩颜色与肤色一致,稍高于皮肤表面,患者自觉瘙痒等不适。
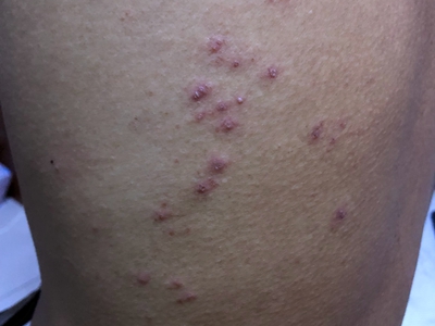
小腿
疙瘩
成人痒疹小腿有几个小疙瘩图
成人痒疹表现为边界清晰的红色丘疹,像疙瘩一样,隆起于皮面,小米至绿豆大小,触之质地较硬,多为数十个,散在分布,瘙痒剧烈,抓破后会造成皮损。
小腿
疙瘩
成人痒疹小腿长了许多小疙瘩图
成人痒疹好发于小腿皮肤,发病时小腿皮肤可见米粒至绿豆大小的淡红色小疙瘩,质地较硬,多为散在性分布,发病前常伴有疲乏,头痛等症状。
大腿
疙瘩 · 结痂
成人痒疹大腿上有红疙瘩表面结痂图
成人痒疹会出现与周围皮肤边界清晰的红色疙瘩,表面皮肤破溃后出血结红色或褐色痂皮,皮损呈散发状,数目较多,小腿处也有发生,可能与超敏反应、遗传、精神因素等有关。
大腿
红点
成人痒疹大腿上有小红点图
成人痒疹发生于大腿上,表现为隆起于皮肤的红色丘疹,微微发红,如同小红点一样密集分布,可达数十个,患者自觉瘙痒明显,注意避免用手抓挠。
小腿
圆疙瘩
成人痒疹小腿数个圆疙瘩图
成人痒疹常在小腿出现散落的圆疙瘩,颜色为红色,其质地坚硬,如黄豆大,由于反复抓挠的影响,颜色较深的疙瘩为原有皮损遗留的瘢痕,颜色较浅的疙瘩为新生的痒疹。
小腿
丘疹 · 结痂
成人痒疹小腿有很多丘疹上面有结痂图
成人痒疹皮损较重时,在患者小腿上有很多散落扁平丘疹,其上有因用力搔抓而出现的结痂、瘢痕等皮损,质地坚硬。部分区域颜色变深变黑,需要及时就医治疗。
小腿
疙瘩
成人痒疹小腿外侧有分散的紫红色疙瘩图
成人痒疹常出现在小腿上,皮损为黄豆大小的紫红色疙瘩,其质地较为坚实,界限相对清楚,瘙痒感较重,抓挠后局部可因受损而出现皮肤色素沉着。
小腿
疙瘩
成人痒疹小腿上好几个红疙瘩图
成人痒疹好发于小腿,上面出现零散、质地坚实的半圆形疙瘩,中心发白,周围发红,患者瘙痒感十分明显,用力搔抓后导致皮损顶端出现血痂,同时有陈旧性皮损留有的色素沉着斑或疤痕。
小腿
丘疹
成人痒疹小腿散在红色疹子图
成人痒疹发生于小腿时,腿上看见红色的皮疹。疹子边缘不规则,与正常的皮肤之间并没有明确的界限。随着疾病进展,疹子可能会出现进一步的增大。
小腿
丘疹
成人痒疹小腿有绿豆大的圆形红疹图
成人痒疹症状较轻时在小腿上出现绿豆大小丘疹,颜色为淡红色,呈圆形中间有小凸起,质地比较坚硬,伴有瘙痒感,后期常因反复搔抓而出现苔藓样变以及色素沉着。
大腿
疙瘩
成人痒疹大腿有小疙瘩图
成人痒疹患者的大腿上出现很多小疙瘩,疙瘩和正常的皮肤颜色相近,呈针尖至米粒大小,微微突起。因为疙瘩有痒感,所以可以在皮肤上看到搔抓导致的红痕。
大腿
红斑
成人痒疹大腿有红斑图
成人痒疹患者大腿上出现鲜红色的斑状物质,红斑分布不均匀,部分相邻红斑之间相互融合,形成更大的红斑,可应用糖皮质激素、钙调磷酸酶抑制剂等治疗。
小腿
小红疙瘩
成人痒疹小腿有几个红疙瘩图
成人痒疹表现为患者小腿出现几个散在分布的红疙瘩,疙瘩隆起于皮肤表面,大小不等,界限清楚,呈淡红色,有的中央有暗红色血痂,患者自觉瘙痒剧烈。
小腿
丘疹
成人痒疹小腿有密集连成片的小丘疹图
成人痒疹小腿上有密密麻麻的小丘疹,互相可以连接成片,丘疹的颜色不一,可以为淡红色、肤色或淡黄色,还有搔抓形成的血痂,主要是小丘疹部位会有明显的瘙痒感。
小腿
小红疙瘩
成人痒疹小腿长了几个小红疙瘩图
成人痒疹患者脚踝以及小腿的皮肤上,长出红色的小疙瘩,表面有水疱,破损后可有结痂、脱屑。反复抓挠后可见皮肤粗糙,或出现化脓感染的现象。
小腿
疙瘩
成人痒疹小腿有红色疙瘩中间有水疱图
成人痒疹患者小腿皮肤上有红色疙瘩,其中央有一凸起的水疱,破损后可流出红色的组织液。同时疙瘩会有明显的瘙痒感,所以会出现搔抓现象。
小腿
水疱
成人痒疹小腿有几个类圆形水疱图
成人痒疹小腿上会有类圆形的水疱长出,水疱中有黄色组织液,水疱边缘有红晕,而且周围的红晕可以互相融合。随病情好转,水疱可逐渐被机体吸收并变小。
小腿
红斑
成人痒疹小腿有几个面积相对较大的红斑图
成人痒疹患者小腿上有几个面积相对较大,但形状并不规则的红斑,与周围正常皮肤的界限较清晰,红斑上还有几个散在分布、米粒大小的疙瘩
大腿
疙瘩
成人痒疹大腿有一个红疙瘩图
成人痒疹患者的一侧大腿上长疙瘩,疙瘩颜色为暗红色,略微高出正常的皮肤表面,边界清晰。患者会出现皮损部位的瘙痒感,如果病情进展,还可出现疙瘩增多的现象。
小腿
红斑
成人痒疹小腿有几个红斑图
成人痒疹患者小腿上有几个形状不规则的红斑,会稍突出于皮肤表面,红斑表面并不平整,与正常皮肤之间的界限不清晰。如果病情加重,红斑会增大或增多。
小腿
小红疙瘩
成人痒疹小腿有很多红色小疙瘩图
成人痒疹患者小腿部位出现数量较多的红色小疙瘩,表面有水疱,边缘有红晕,在水疱破裂后,表面会形成黄色或暗红色的痂以及白色的死皮。
小腿
疙瘩
成人痒疹小腿有疙瘩凸起图
成人痒疹患者小腿上长出红色的疙瘩,并且疙瘩会略高于皮肤,周围绕有红晕,部分疙瘩顶上长有透明小水疱,疱内有组织液,可遗留色素沉着的现象。
小腿
疙瘩
成人痒疹小腿外侧有几个红疙瘩图
成人痒疹患者的小腿部位会出现疙瘩,表面为红色,呈散在分布,同时红疙瘩与正常皮肤的界限不清晰,有红晕与之相连。病情进展后,可出现破溃等表现。
小腿
红斑
成人痒疹小腿有散在圆形红斑图
成人痒疹出现在患者的小腿上时,会长圆形的红斑,面积相对较大,每个都有乒乓球大小。患者还会有较为明显的瘙痒症状,搔抓可暂时缓解。
小腿
疙瘩
成人痒疹小腿起了好多红疙瘩图
成人痒疹小腿皮肤上会出现很多散在分布的,大小不一的红疙瘩,可以聚集成簇但不会融合,边界清晰,发病前常有疲乏、头痛等不适症状。
膝盖
疙瘩
成人痒疹膝盖有许多疙瘩图
成人痒疹好发于膝盖,表现为小米至绿豆大小的疙瘩,密集分布于皮肤表面,部分为淡红色,部分接近肤色,自觉剧烈瘙痒,抓挠后可出现结痂。
大腿
小红疙瘩
成人痒疹大腿长了好多红色小疙瘩图
成人痒疹出现在患者的大腿上,后侧靠近膝盖的皮肤存在密集红色的小疙瘩,疙瘩和正常皮肤之间有红晕,患者伴随痒感,一般在搔抓后可以缓解。
手背
丘疹
成人痒疹手背起了几个圆形疹子图
成人痒疹出现于手背部,可见几个绿豆大小淡红色的丘疹,散在分布,边界清晰,可感瘙痒剧烈,易反复发作,日常避免反复抓挠后出现皮肤苔藓样改变。
手背
丘疹
成人痒疹手背有红疹图
成人痒疹累及手背时,会出现零星分布的红色丘疹,边界清晰,形状不规则,自觉剧烈瘙痒,用手抓挠后常引起皮损破溃,继而形成结痂。
手背
小红疙瘩
成人痒疹手背长小红疙瘩图
成人痒疹表现为手背上长有大小不一的红色疙瘩样丘疹,细小如针尖,较大的如绿豆,顶端尖锐,聚集呈簇状,但不相互融合,应及时到医院就诊,避免症状加重。
手背
小疙瘩
成人痒疹手背上有几个红色小疙瘩图
成人痒疹常反复发作,在手背上出现红色的小疙瘩,略凸起,大小不等,并向手腕扩散,同时有几个褐色斑,为陈旧性皮损,可遵医嘱使用糖皮质激素、钙调磷酸酶抑制剂等药物治疗。
手背
红点
成人痒疹手背有分散的圆形小红点图
成人痒疹症状较轻时在患者手背出现小米大小的小红点,触摸有颗粒感,在手背上孤立、零星地分布,一般数月后可以自愈,但由于患者有明显的痒感,可遵医嘱短期使用炉甘石洗剂进行止痒治疗。
手掌
疙瘩
成人痒疹手掌有黄豆大的疙瘩图
成人痒疹起初表现为手掌上出现黄豆大的疙瘩,质地较硬,颜色轻微发红,中间有个点状的白色小坑,自觉有瘙痒感,常为一过性反应,之后逐渐恢复正常,建议避免反复搔抓。
手腕
小疙瘩
成人痒疹手腕内侧有几个小疙瘩图
成人痒疹出现在手腕内侧,皮损为芝麻到米粒大小的坚实小疙瘩,颜色为肤色或轻微发红,触摸皮肤不光滑,有强烈的瘙痒感,搔抓后皮损会增大,建议遵医嘱使用炉甘石洗剂等药物缓解。
脚背
疙瘩
成人痒疹脚背红疙瘩图
成人痒疹患者的脚背出现红色的疙瘩,疙瘩突出皮肤表面,呈粉红色、暗红色,相邻的疙瘩融合成更大的疙瘩,患者会有较为明显的瘙痒。
脚踝
小红疙瘩
成人痒疹脚踝长了几个小红疙瘩图
成人痒疹表现为脚踝部出现红色疙瘩样的丘疹,顶端圆钝,瘙痒剧烈,抓挠后破损出血在表面形成结痂,日常应注意保持皮损部清洁,避免感染。
脚背
红点
成人痒疹脚背有圆形小红点图
成人痒疹患者的脚背有小米至大米状的小红点,孤立、零星地分布,也有少量的融合,并向小腿蔓延,一般数月后可以自愈,但由于患者有明显的痒感,可遵医嘱止痒治疗,如短期使用糖皮质激素、外用炉甘石洗剂等。
脚后跟
圆疙瘩
成人痒疹脚后跟有圆疙瘩图
成人痒疹患者的脚后跟出现两个红色的圆疙瘩,边缘不清,伴有痒感,其顶部有破溃现象,由反复搔抓或摩擦引起,随着病情的进展,皮损会扩散,建议遵医嘱使用丁酸氢化可的松乳膏缓解症状。
脚踝
疙瘩
成人痒疹脚踝有红色疙瘩图
成人痒疹好发于脚踝处,皮损为数个大小不等的扁平疙瘩,颜色为红色,略微高出正常的皮肤表面,颜色为红色,为新生的皮损,同时有几个褐色的斑片,为原有皮损痊愈后留有的色素沉着。
脚踝
小水疱
成人痒疹脚踝上有几个小水疱图
成人痒疹出现在脚踝上,皮损为大小不等的小水疱,顶端颜色发白发亮,周围皮肤红肿,用力搔抓后皮损可增大,多因过敏、虫咬等原因引起。
脚踝
红斑
成人痒疹脚踝有几个红斑图
成人痒疹患者脚踝上有几个颜色深浅不一、形状大小也不一样的红斑,通常患者会自觉瘙痒症状明显,可遵医嘱使用氯雷他定等抗组胺药物进行治疗。
成人痒疹相关知识
成人痒疹又称暂时性或一过性痒疹。多见于中青年,以30岁以上女性多见。发病前常有疲乏、头痛、失眠及胃肠功能失调等全身症状。好发于躯干及四肢伸侧,肘、膝部明显,也可累及头皮、面部、臀部。
基本皮损为小米至绿豆大小、淡红或肤色、多发性坚实圆形或顶部略扁平的丘疹,散在分布,亦可聚集成簇,但不融合。患者自觉瘙痒剧烈,抓后出现风团样皮损及丘疱疹,反复搔抓可出现苔藓样变、色素沉着。
成人痒疹属于痒疹的一种类型,目前发病原因不明,多考虑与超敏反应有关,也可能与神经精神因素、遗传、过敏体质、虫咬、食物或药物过敏、病灶感染、胃肠道功能紊乱、内分泌障碍及恶性肿瘤等有关。
成人痒疹应去除可疑的致病因素,糖皮质激素、钙调磷酸酶抑制剂等可外用,必要时进行封包治疗,系统用药可口服抗组胺药,神经精神因素导致者可适当应用抗焦虑药、抗抑郁药。皮损广泛和瘙痒难以忍受者,可短期使用糖皮质激素,也可用维A酸类药物、免疫抑制剂等,可以尝试淀粉浴、矿泉浴。
参考文献
[1]张学军,郑捷.皮肤性病学.第9版[M].北京.人民卫生出版社.2018.131-132.
[2]张建中,高兴华.皮肤性病学.第1版[M].北京.人民卫生出版社.2015.175-176.
相关科普
痒疹是怎么引起
孙立元
首都医科大学附属北京安贞医院
什么是痒疹
吴剑波
武汉大学中南医院
痒疹怎么彻底治愈
孙立元
首都医科大学附属北京安贞医院
痒疹怎么治疗
魏爱华
首都医科大学附属北京同仁医院
痒疹传染吗
陈少君
中国中医科学院西苑医院
中医能治疗痒疹吗
李凯
武汉市第一医院
成人血压正常范围
康云鹏
首都医科大学附属北京安贞医院
成人退烧药
张鸿
首都医科大学附属北京朝阳医院
成人正常血压
王智泉
武汉大学中南医院
成人脉搏正常范围
范振兴
首都医科大学宣武医院