水痘症状图片

本文由有来医生原创,经专业医师审核校对
所有图片质量和准确性经专业医生严格审查

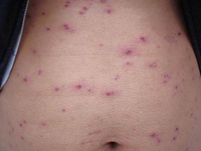
水痘是由于水痘-带状疱疹病毒感染导致,病毒主要通过呼吸道飞沫、接触疱液等方式传播。典型皮损为斑疹、疱疹,一般好发于儿童。水痘痊愈后,仍有病毒潜伏于神经节内,日后可能导致带状疱疹。

水痘症状图片

水痘相关知识

水痘患者皮损首先发生于头面部,然后扩展到躯干和四肢近端,呈向心性分布,皮损最初为红色斑疹,逐渐变为丘疹、丘疱疹、脓疱,3-5天后疱疹呈脐样凹陷,疱干涸结痂,1-2周结痂脱落,可伴有瘙痒。患者可有发热、头痛等全身症状,严重者可表现为肺炎、脑炎、变异性水痘综合征等。
水痘主要由于水痘-带状疱疹病毒感染导致,病毒主要通过呼吸道飞沫感染,以及疱液接触感染。
水痘病程有自限性,治疗以抗病毒和对症治疗为主。早期患者可遵医嘱使用抗病毒药物,如阿昔洛韦、更昔洛韦等。同时可在医生指导下进行对症治疗,如外用炉甘石洗剂缓解瘙痒,继发感染患者可遵医嘱使用抗生素药膏,如莫匹罗星软膏。

参考文献

[1]张学军,郑捷.皮肤性病学.第9版[M].北京.人民卫生出版社.2018.68-70.

[2]虞瑞尧.皮肤病鉴别诊断彩色图谱.第1版[M].北京.人民军医出社.2012.133.

[3]吴志华.皮肤性病诊断与鉴别诊断[M].北京.科学技术文献出版社.2018.64.

相关疾病

相关科普