首页
我的
口腔白斑病症状图片
本文由有来医生原创,经专业医师审核校对
所有图片质量和准确性经专业医生严格审查
张代杰
副主任医师 | 审核医师
山东大学齐鲁医院
|
口腔修复科
口腔白斑病是指发生口腔黏膜上的不明原因的白色斑块或斑片,主要以口腔黏膜上白色损害为主要症状,一部分口腔白斑可转变为癌。口腔白斑病好发于40岁以上的男性,牙龈、颊黏膜咬合线及舌部是好发部位。
口腔白斑病症状图片
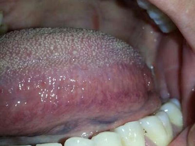
舌头
白斑
口腔白斑病舌侧有毛状白斑图
口腔白斑病在舌腹发作,表现为大片白斑,与周围的边界清晰,形状不规则,白斑的表面高低起伏,状如白色皱纸,基底柔软很像毛发。
舌头
白斑
口腔白斑病舌头发白图
口腔白斑病患者的舌头表面发白,覆盖一层灰白色斑块,稍高出舌黏膜表面,边界清楚,摸起来很柔软,患者无自觉症状,舌头有粗糙感。
舌侧
白斑
口腔白斑病舌头颗粒状白斑图
口腔白斑病表现为舌头表面出现颗粒状白斑,患处呈红白相间状,白色颗粒状突起于皮肤,稍硬,黏膜表面不平坦,似有小片状或点状糜烂。
舌侧
白斑
口腔白斑病舌头侧面起块状白斑图
口腔白斑病患者的舌头上有白色或灰白色、质地较硬的斑块,形状基本近似圆形,突起于黏膜表面,与周围的舌黏膜界限清晰,有轻微疼痛。
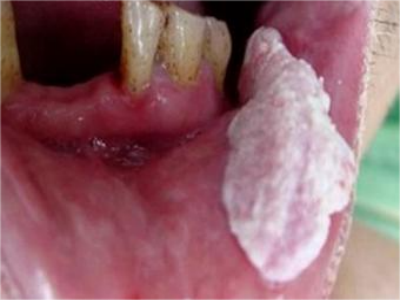
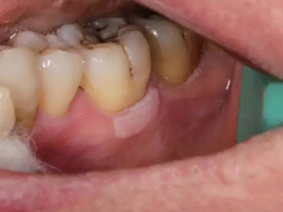
牙龈
白斑
口腔白斑病牙龈块状白斑图
口腔白斑病表现为牙龈处有稍高出黏膜表面的白色斑块,不粗糙、柔软,周围黏膜正常,患者无明显的自觉症状,偶尔有粗糙感或木涩感。
牙龈
白斑
口腔白斑病牙龈皱纸状白斑图
口腔白斑病表现为牙龈外侧有大片皱纸状白斑,呈红白间杂的损害,边界清楚,表面高低起伏,状如白色皱纸,粗糙柔软,患者有刺激痛。
嘴唇
白斑
口腔白斑病嘴唇颗粒状白斑图
口腔白斑病患者的嘴唇上有颗粒状白斑 ,嘴唇黏膜异常潮红,黏膜上散在分布着乳白色、形态不一致的细小角化颗粒,有轻微刺痛感。
嘴唇
白斑
口腔白斑病嘴唇长白斑图
口腔白斑病表现为白色或灰白色、均质型较硬的斑块,稍高出嘴唇内侧黏膜的表面,略粗糙,柔软,与周围边界清晰,无症状或仅有轻度不适感。
唇内侧
白斑
口腔白斑病嘴唇上边黏膜白斑图
口腔白斑病是发作于嘴唇黏膜上的白色或灰白色病损,上边的口腔黏膜有网状白斑,表面粗糙,表面稍突起,呈颗粒状,有时候有木涩感。
舌侧
白斑
口腔白斑病舌侧一片白斑图
口腔白斑病出现在舌头侧面,呈一片网状的白色斑块,与周围的正常舌黏膜界限清晰,是一种常见的非传染性慢性疾病,与白色念珠菌感染有关。
口腔
白斑
口腔白斑病口腔长白色斑块图
口腔白斑病表现为患者口腔黏膜有一块形状不规则的白斑,呈乳头状样肥厚,边界清楚,颜色分布不均,其上可有裂隙分隔,质地柔软,患者自觉粗糙、干涩。
舌头
白斑
口腔白斑病舌头上厚厚的白斑图
口腔白斑病是口腔黏膜上有白色的损害,重症患者的舌头上有厚厚的白斑,白斑层层叠叠,中间有浅色网状裂隙,由长期的外来刺激引起。
舌头
白斑
口腔白斑病舌头上颗粒状白斑图
口腔白斑病患者的舌头上有颗粒状白斑,损害近似三角形,红白间杂,界限不清晰,红色区域为萎缩的红斑,表面点缀着结节样或颗粒状白斑。
舌侧
白斑
口腔白斑病舌头一侧有白色絮状物质图
口腔白斑病的典型病损呈白色或灰白色白斑,斑点的大小不等,在舌头一侧有白色絮状的物质,白斑的周围绕有红晕,发病与烟酒长期刺激有关。
舌侧
白斑
口腔白斑病舌头有一大块白色的东西图
口腔白斑病表现为口腔内黏膜上长了白色斑块,大小面积不同,因而患者舌头上会有一大块白色的东西,局部刺激因素在白斑的发病中具有很重要的作用。
牙龈
白斑
口腔白斑病牙龈有一小块白色斑块图
口腔白斑病症状轻微时,患者的牙龈表面有一小块白色斑块,表现为轻度隆起或高低不平的损害形态,患处有木涩感,对冷热刺激和触觉不太敏感。
口腔
白斑
口腔白斑病一侧口腔黏膜网状白斑图
口腔白斑病表现为网状白斑,与下面的黏膜粘连很紧,强行剥去则引起出血,境界清楚,质较硬,不易推动,增厚,反复外伤可引发溃疡,因而患者出现一侧口腔黏膜有网状白斑。
口腔
白斑
口腔白斑病左侧口腔黏膜有网状白色斑块图
口腔白斑病的典型皮损呈网状白斑,在患者左侧口腔黏膜有白色条状斑块,交织成网状,无明显的症状,有时患者自己感觉有烧灼感或刺激感。
口腔
白斑
口腔白斑病右侧黏膜圆形白斑上面有裂纹图
口腔白斑病发病后,患者的右侧口腔黏膜上会出现一个圆形的白斑,与周围正常皮肤的边界比较清晰,其上有一些裂纹,患者自觉有粗糙、木涩感。
口腔
白斑
口腔白斑病口腔黏膜许多白色斑图
口腔白斑病表现为口腔黏膜上有白色的破损,边缘有白色的脱皮,破损呈斑块状,边缘不清晰,斑块的大小同癌变的可能性之间并没有关系。
口腔
白斑
口腔白斑病左侧口腔黏膜一个大的圆形白斑图
口腔白斑病会导致患者的左侧口腔黏膜上,有一个边界清晰的白斑,大致呈圆形,边缘清晰,高出皮面,可以在医生的指导下使用异维A酸软胶囊等进行治疗。
嘴唇
白斑
口腔白斑病嘴唇起白色斑块图
口腔白斑病可导致患者下嘴唇出现一块白斑,边缘清楚但形状不规则,呈溃疡状,皮损中央有一正常皮肤的小点,粟粒样大小,周围皮肤结构正常,患者无疼痛等不适感觉
口腔
白斑
口腔白斑病口腔下面黏膜白斑图
口腔白斑病表现为口腔黏膜有白色皱纸样的斑块,基底柔软,与正常黏膜的边界清晰,覆盖大半个左侧下嘴唇,患处有木涩感,有时会感到疼痛。
舌侧
白斑
口腔白斑病舌侧有小块白斑图
口腔白斑病在舌头上形成典型的白色损害,初期在舌头侧面表现为形状不规则、边缘整齐、质地较硬的小块白斑,一开始并无明显自觉症状。
舌头
白斑
口腔白斑病舌头白斑突起图
口腔白斑在舌头上表现为轻度的隆起或高低不平的白色斑块,质地紧密,斑块处会有木涩感,味觉也有一定损失,多见于40岁以上男性。
舌头
白斑
口腔白斑病舌头发白厚腻图
口腔白斑病患者的舌头会出现广泛的白色斑块,还有绒毛样或乳头样白膜,也可有不规则增厚和结节,患者舌头会表现为发白和厚腻。
舌头
白斑
口腔白斑病舌头很厚发白图
口腔白斑病患者的口腔内部和舌头会出现白色斑块样的皮损,反复发作后形成增厚的斑块和结节,因而患者的舌头有很厚、发白的现象。
舌头
白斑
口腔白斑病舌头下面横纹状白斑图
口腔白斑病在口底和舌腹发作,又称口底白斑,患处皮肤高低起伏,患者舌头下面有横纹状白斑和网状白斑,通常没有症状出现或有针刺激感和轻度疼痛。
舌侧
白斑
口腔白斑病舌头一侧形状不规则白斑图
口腔白斑病会表现为患者右侧舌头上出现形状不规则的白斑,呈皱纹纸状,表面粗糙,与抽烟、嚼槟榔、感染念珠菌、微量元素缺乏等有关。
舌尖
白斑
口腔白斑病舌尖发白有裂纹图
口腔白斑病发病后,患者的舌尖会出现大面积白色、厚重的物质,其上有许多长短不一、弯曲的裂纹,用刮匙可以刮取掉部分,此病发好于40岁以上的男性。
舌侧
白斑
口腔白斑病舌头一侧有一块白色斑块图
口腔白斑病表现为舌头上出现白色、灰白色的皮损,舌头一侧有明显的白色斑块,与周围正常的舌黏膜界限清晰,边缘不整齐,形状不规则。
口腔
白斑
口腔白斑病右侧口腔黏膜发白图
口腔白斑病会表现为患者的右侧口腔黏膜上,有许多厚重的白色物质,用刮匙可以刮掉一部分,但不能完全刮没有,患者没有自觉症状。
舌侧
白斑
口腔白斑病舌头长条纹白斑图
口腔白斑病皮损可表现为皱纹纸样白斑,分布于患者舌头下面,呈紧密分裂的条状,高出皮面,周围组织正常,患者可自觉局部黏膜粗糙,不影响进食。
舌侧
白斑
口腔白斑病初期症状图
口腔白斑病初期表现为舌头侧面出现杂乱排布的白色斑块,斑块形状不规则,大小不等,聚集存在,无法擦去,不伴有自觉症状,多与长期吸烟、吃槟榔等原因有关。
嘴唇
白斑
口腔白斑病嘴唇上有形状不规则白斑图
口腔白斑病患者下嘴唇有块形状不规则的白斑,斑块边缘不清晰,且唇部表面干燥,有明显细纹,触摸有凹凸不平感,患者一般无明显自觉症状。
口腔
溃疡
口腔白斑病左脸颊内侧有黄白相间溃疡图
口腔白斑病患者左脸颊内侧有块黄白相间的溃疡,形状不规则,表面凹凸不平,患者自觉有明显疼痛,一般是由于外部刺激或是营养缺乏等因素导致。
舌侧
白斑
口腔白斑病舌头出现白斑图
口腔白斑病发生在舌头黏膜上,表现为灰白色斑块状的损害,斑块的色泽除了灰白色以外,还表现出红白间杂的损害,不高于黏膜表面,患处平滑,柔顺。
舌头
白斑
口腔白斑病舌头上出现黄白色斑块图
口腔白斑病患者的舌头黏膜上出现不同的斑块,舌面前段为很多白色的斑块,互相融合,舌面根部出现黄色的斑块,斑块微微高出正常黏膜,与周围黏膜边界清晰。
口腔
白斑
口腔白斑病口腔侧面有白色假膜图
口腔白斑病患者张大嘴巴后,右侧口腔颊侧能看见一片白色假膜,边界清楚,由点状融合而成,大致呈长条状,患者无疼痛等不适感觉。
舌头
白斑
口腔白斑病舌头表面有乳白色斑块图
口腔白斑病皮损表现为不透明的乳白色斑块,依附在舌头下面,整体颜色较均匀,中间夹杂少量黄斑,自觉症状明显时,可在医生指导下使用异维A酸软胶囊。
口腔
白斑
口腔白斑病口腔黏膜白斑图
口腔白斑病主要以白色病损为主,而且不能被擦去,因而口腔黏膜上表现为白斑样,范围大小不一,表现呈多形性,面积越大的白斑越容易发生恶变。
口腔
白斑
口腔白斑病口腔黏膜颗粒状白斑图
口腔白斑病的黏膜白斑有多种形状,在口腔内侧出现多个颗粒状白斑,密密麻麻地分布在黏膜表面,突出于黏膜表面,患者有轻微的痛感。
舌侧
白斑
口腔白斑病舌头上有疣状白斑图
口腔白斑病的一般皮损为绒毛样或乳头样白膜,出现在舌头表面,严重的部位有不规则增厚和结节,表面凸起高低不平,临床称为疣状白斑。
口腔
白斑
口腔白斑病口腔黏膜疣形白斑图
口腔白斑病表现为黏膜疣形白斑,表面稍粗糙,界限清楚,突出口腔黏膜的表面,质地较硬,不易推动,咀嚼时容易反复造成外伤,从而引发溃疡。
舌头
白斑
口腔白斑病舌底皱纸状白斑图
口腔白斑病在舌底形成白色皱纸一样的斑块,表面有一条一条的平行纹路,略突出于正常的舌黏膜,一般无任何自觉症状,但部分患者有烧灼感或刺激感。
舌侧
白斑
口腔白斑病舌侧面有块状白斑图
口腔白斑病表现为舌腹处有多处块状白斑,大小不一,形状不规则,分布也不均匀,一般无任何自觉症状,但部分患者有烧灼感或刺激感。
口腔白斑病相关知识
口腔白斑病损害形态多样,包括斑块状、皱纹纸状、溃疡状等,患者一般无自觉症状,或自觉粗糙、木涩等。
口腔白斑病主要与理化刺激因素有关,如吸烟、乙醇等。其他诱发因素包括食用刺激性食物,如咀嚼槟椰,咬颊、牙齿的残根、残冠刺伤黏膜等。此外,也可能与感染念珠菌、人乳头瘤病毒、锌等微量元素缺乏等有关。
口腔白斑病患者可在医生指导下使用异维A酸软胶囊口服或维A酸乳膏局部外用。对于有癌变倾向的患者,建议每3-6周复查一次,必要时采取外科手术治疗。
参考文献
[1]李艳.实用皮肤科疾病诊断治疗[M].北京.科学技术文献出版社.2018.317.
[2]张秀果,崔怡主编.五官科疾病观察与护理技能[M].北京.中国医药科技出版社.2019.252.
相关科普
什么是口腔白斑病
孙正
首都医科大学附属北京口腔医院
什么是口腔白斑病
郑首慧
河南中医药大学第三附属医院
口腔白斑病怎么治疗
孙正
首都医科大学附属北京口腔医院
口腔白斑病的预后如何
刘洋
北京大学口腔医院
口腔白斑病的癌变倾向有哪些
周永梅
上海交通大学医学院附属第九人民医院
口腔白斑病日常应该怎么预防
周永梅
上海交通大学医学院附属第九人民医院
口腔白斑病中医怎么治疗
刘洋
北京大学口腔医院
口腔白斑病是一种什么病
谢春
华中科技大学同济医学院附属协和医院
口腔白斑病能自愈吗
刘洋
北京大学口腔医院
口腔白斑病吃什么药管用
刘传霞
浙江大学医学院附属口腔医院