口癣症状图片

本文由有来医生原创,经专业医师审核校对
所有图片质量和准确性经专业医生严格审查

口癣一般指口腔扁平苔藓,是累及口腔,与细胞介导免疫功能紊乱有关的慢性炎症性疾病。好发于中年人,且女性多于男性,通常病程较长。患病后,临床特征为口腔黏膜损害,早期没有自觉症状,也容易被忽视,多在检查时偶然发现,其具体病因不明,通常在治疗时也需给予药物治疗及生活调理。

口癣症状图片

口癣相关知识

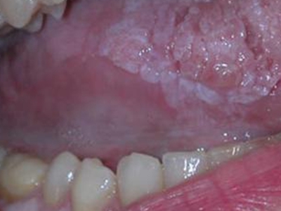
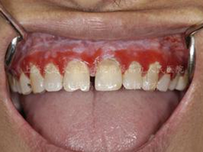
口癣的临床特征为口腔黏膜损害,主要为珠光白色条纹或网纹,也可为单线条或绕成环形。在舌背多为圆形或椭圆形白色斑块,损害区乳头消失而平伏。软腭或其他部位可发生透明颗粒状水疱。条纹之间的黏膜色泽可以正常或充血;有时在损害范围内某一区域发生糜烂,在唇部或颊黏膜处有时可出现针头大小、微隆的丘疹。
口癣具体病因不明,可能与感染、微循环障碍、遗传因素、系统性疾病以及口腔局部刺激等因素相关。
口癣治疗时需注意调整不良心态及作息,同时注意去除口腔局部刺激因素,如残根、残冠等,并给予药物治疗,如病损角化程度高者可局部应用维A酸乳膏,若伴发真菌感染者可选择制霉菌素片治疗。另外,也可选择中药治疗,如珠黄散。

参考文献

[1]刘蓬主编.实用中医耳鼻喉科学[M].北京:中国中医药出版社,2020.06.876-881.

[2]熊大经,严道南编.中医耳鼻咽喉科学 ;第2版[M].上海:上海科学技术出版社,2017.08.219-222.

[3]樊明文主编.中华医学百科全书 ;2 ;临床医学 ;口腔医学[M].北京:中国协和医科大学出版社,2018.11.220-221.

相关科普