日光性角化病症状图片

本文由有来医生原创,经专业医师审核校对
所有图片质量和准确性经专业医生严格审查

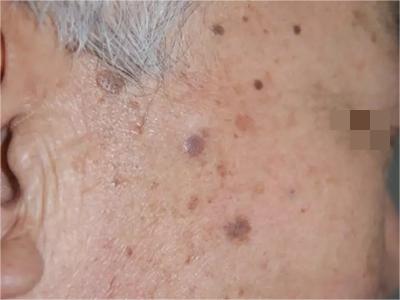
日光性角化病又称光线型角化病或老年角化病,是长期日光暴晒损害皮肤所引起的一种癌前损害,中老年皮肤白皙者容易发病。若皮损迅速扩大呈疣状或结节状,甚至破溃,则提示恶化为鳞状细胞癌。

日光性角化病症状图片

日光性角化病相关知识

日光性角化病皮损表现为在日晒皮肤上开始发生散在性扁平丘疹或小结节,呈淡红色,也可为边界不清的红斑,色素斑或毛细血管扩张。皮疹米粒至蚕豆大,呈圆形或不整形,边缘正常或有炎症现象,轻微隆起,表面疣状增殖,质硬,可呈斑块,表面光滑或有黏着性鳞屑。皮疹可逐渐转为黄褐色或黑褐色,表面干燥,角化显著,固着于基底的硬痂不易剥离,强行除去硬痂,可有轻度出血。
日光性角化病病因尚不清楚,照射日光,紫外线和放射线、辐射热、电离辐射,以及接触沥青,煤提炼产物均可诱发本病。个体易感因素在本病发病过程中也起到重要作用,本病多见于白种人,白化病者发病率也较高。
日光性角化病在日常生活中尽量避免日晒,外出可涂抹防晒霜,穿防晒衣,打遮阳伞。可选用手术切除法,也可局部外用复方二氧化钛软膏、维胺酯维E乳膏、氟尿嘧啶软膏等。

参考文献

[1]马振友,李斌,李元文.新编中西皮肤药物手册[M].河南.河南科学技术出版社.2019.494.

[2]吴志华.皮肤性病诊断与鉴别诊断[M].北京.科学技术文献出版社.2018.761-763.

[3]程书钧.癌前病变和癌前疾病[M].河南.河南科学技术出版社.2017.621.

相关科普