首页
我的
角膜挫伤症状图片
本文由有来医生原创,经专业医师审核校对
所有图片质量和准确性经专业医生严格审查
张幼梅
主任医师 | 审核医师
郑州大学第一附属医院
|
眼科
角膜挫伤是指钝性物体打击、高压液体或气体冲击作用于角膜和巩膜所引起的损害。常见的原因有拳击伤,或是球类、土块、砖瓦块击伤,跌倒、头部碰撞和其他头部外伤,以及接生时的产钳伤等。钝性物体可直接作用于角膜,也可通过眼眶内组织的反作用而影响角膜和巩膜。
角膜挫伤症状图片
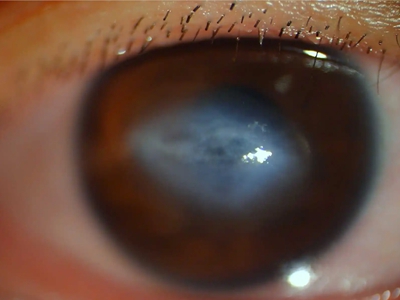
角膜
条纹
角膜挫伤角膜有白色条纹图
角膜挫伤可见角膜增厚,内部变浑浊且颜色发白,有条状白色纹路,呈划痕样,角膜下有部分浑浊严重,眼白及周围黏膜都有发红现象。
角膜
水肿
角膜挫伤角膜水肿图
角膜挫伤在角膜下有一块三角形荧光绿色斑块,边界清晰,角膜水肿,伴有红血丝,瞳孔变小,患者自觉视物模糊,伴疼痛、畏光等症状。
角膜
条纹
角膜挫伤眼睛上划痕像白色条纹图
角膜挫伤患者在裂隙灯目镜下,见角膜上皮出现划伤状剥脱,伤口较长,伤口处有白色薄膜翘起,类似于白色条纹,患者有视物不清以及疼痛等症状。
角膜
条纹
角膜挫伤角膜缺失后白色条纹图
角膜挫伤患者经裂隙灯目镜见角膜上皮有密集的点状缺失,类似于出现一道白色条纹,在角膜表面密集分布,患者自觉眼球胀痛、视物模糊,需积极治疗,避免病情加重。
角膜
水肿
角膜挫伤角膜中间变成灰白色水肿浑浊图
角膜挫伤较为严重时,可见结膜发红,角膜中心处发白,整体浑浊水肿,此时有明显的疼痛感,伴流泪、畏光、视物模糊等表现。
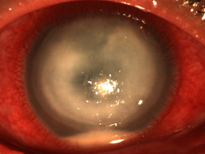
角膜
溃疡
角膜挫伤角膜溃疡图
角膜挫伤进行性加重后,可逐渐出现角膜红肿像烂掉一样,布满红血丝,整个眼球褪色发黄浑浊,瞳孔处有荧光黄色的斑块,同时可见角膜出现溃疡。
角膜
白斑
角膜挫伤角膜灰白色斑块图
角膜挫伤可见角膜出现覆膜样灰白色斑块,白斑覆盖面积较大,颜色深浅不均,隐约能透出部分黑色眼球,角膜下发红,伴有明显疼痛,视物模糊,影响日常生活,应积极进行治疗。
角膜
白斑
角膜挫伤角膜上有一层白色云雾状白斑图
角膜挫伤表现为角膜颜色发白,呈云雾状,类似于一大块白色斑块,其形状不规则,边界不清晰,角膜的透明度降低,瞳孔中会隐约透出黑褐色,患者伴视物模糊、疼痛等不适。
角膜
白斑
角膜挫伤角膜上外圈有一圈白斑图
角膜挫伤角膜上有一圈边缘不规则但边界清晰的白斑,角膜下眼球结构部分发红,且有红血丝,患者疼痛感觉明显,对视物功能有部分影响。
角膜
血丝 · 白斑
角膜挫伤角膜内有团状的白色斑点伴血丝图
角膜挫伤可见角膜颜色浑浊发白,有一块较明显的团状白斑,角膜下的眼球结构遍布红血丝,眼周围的黏膜也表现为红色,多是合并感染导致,随着疾病的发展会出现角膜损伤、溃疡等病变。
角膜
血丝
角膜挫伤角膜白色浑浊有血丝图
角膜挫伤眼睛的角膜有一大块黄绿色斑块,几乎覆盖整个眼球,除荧光绿色的斑块外,剩余角膜呈白色浑浊样,角膜下有部分红血丝,无法视物,病情较重。
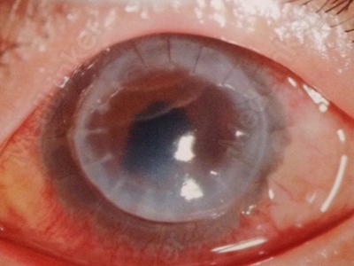
角膜
血丝
角膜挫伤角膜下有红血丝图
角膜挫伤在角膜边缘有一小块荧光色斑点,为黄绿色且边界清晰,其形状不规则,颜色分布均匀,角膜下有红血丝,属于疾病的早期症状,应及时到院治疗,防止角膜继续发生病变。
角膜
水肿
角膜挫伤角膜水肿变浑浊图
角膜挫伤表现为角膜有水肿增厚的现象,由原本的清澈、透明变为部分浑浊,颜色发白,同时有较多红血丝,考虑是感染导致,患者应积极采取治疗,以免疾病进一步发展。
角膜挫伤相关知识
角膜挫伤由于上皮损伤,角膜感觉神经末梢受到刺激,有明显的疼痛、畏光、流泪及眼睑痉挛等症状,视力也受到影响。上皮缺损区荧光素着色,若发生感染,可引起角膜溃疡。波及基质层者则为角膜深层挫伤,受伤部位角膜水肿、增厚,可有后弹力层皱褶。
角膜挫伤常由玩具手枪、气枪子弹、手指戳伤等引起。儿童由于喜欢玩玩具水枪和玩具气枪而伤及角膜的多见。成人的角膜挫伤常由工作中的器具如扳手、砂轮等引起。
角膜挫伤中角膜上皮缺损者,伤眼涂红霉素眼膏或氧氟沙星眼膏包扎。如果上皮缺损面积较大,或伴有前弹力层损伤者,可加用角膜上皮生长因子,双眼包扎。对于角膜水肿严重的患者,在角膜上皮愈合后,可应用糖皮质激素滴眼液滴眼,减轻水肿。
参考文献
[1]张秋丽等主编.眼科疾病诊治与显微手术应用 ;下[M].长春.吉林科学技术出版社.2016.355.
[2]葛坚,王宁利.眼科学.第3版[M].北京.人民卫生出版社.2015.474.
相关科普
白癜风的治疗方法
刘文斌
北京航天总医院
白癜风饮食要注意什么
刘文斌
北京航天总医院
银屑病分为哪些类型
张涛
北京协和医院
牛皮癣的治疗需要多长时间
张涛
北京协和医院
银屑病患者如何选择衣着
张涛
北京协和医院
儿童肥胖症的判断标准
李时莲
首都医科大学附属北京儿童医院
宫颈癌疫苗有用吗
段微
首都医科大学北京妇产医院
得了宫颈癌还可以生孩子吗
段微
首都医科大学北京妇产医院
切除子宫会不会提前衰老
段微
首都医科大学北京妇产医院
肥胖症儿童如何饮食
李时莲
首都医科大学附属北京儿童医院