病毒性结膜炎症状图片

本文由有来医生原创,经专业医师审核校对
所有图片质量和准确性经专业医生严格审查

病毒性结膜炎是一种常见的由病毒感染引起的眼病,具有起病快、传染性强、发病率高的特点。病变程度因个人免疫状况、病毒毒力大小不同而存在差异,通常有自限性。临床上按病程分为急性和慢性两种,以前者多见,常见包括流行性角结膜炎、流行性出血性结膜炎、咽结膜热、单纯疱疹性结膜炎等。患病后常会出现畏光、流泪、刺痒等不适,需及时就诊治疗。

病毒性结膜炎的类型和症状图片

病毒性结膜炎相关知识

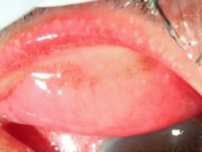
病毒性结膜炎通常起病急,双眼发病,主要症状为眼睑充血、疼痛、异物感、烧灼感、发痒等,当炎症累及角膜时,常伴有畏光、流泪、刺痛等不适,以及有水样分泌物。但涉及疾病不同,临床症状也有一定的差异。
1、流行性角结膜炎:刺激症状显著,有刺痒、异物感、水样分泌物等,病变累及角膜时,有明显的畏光、流泪、视力模糊,检查时可见球结膜充血、水肿,睑结膜和穹隆结膜有大量滤泡,尤以下睑明显。睑结膜面有假膜、角膜有圆点状浸润等异常。
2、流行性出血性结膜炎:自觉症状重、眼部剧烈疼痛、畏光、流泪、异物感、水样分泌物。主要体征是眼睑充血水肿、球结膜高度充血,常伴有结膜下出血,出血可为点状、线状或片状。
3、单纯疱疹性结膜炎:可导致眼睑疱疹形成、结膜充血、发生急性滤泡性结膜炎,严重者有假膜形成。
病毒性结膜炎主要由腺病毒、肠道病毒等感染引起,具体病因也存在一定的差异。
1、流行性角结膜炎:主要由腺病毒感染所致,可由腺病毒8、19、29、37型引起,可出现严重流行,但多呈散发性;
2、流行性出血性结膜炎:由肠道病毒70型所致,流行性很强,可大面积迅速流行;
3、单纯疱疹性结膜炎:由单纯疱疹病毒感染所致。
病毒性结膜炎发作时,尽量避免与他人接触,少去公众场合,可遵医嘱予以局部冷敷和使用抗病毒药物控制病情,如阿昔洛韦滴眼液、利巴韦林滴眼液,必要时可使用糖皮质激素制剂,如妥布霉素地塞米松滴眼液。

参考文献

[1]杨培增,范先群.眼科学.第9版[M].北京.人民卫生出版社.2018.90-94.

[2]李玲主编.现代眼科疾病诊疗学[M].云南科学技术出版社,2020.07.

103-105.

[3]葛均波,徐永健.眼病学.第3版[M].北京.人民卫生出版社.2017.32.

[4]邹春光等主编.实用五官疾病诊疗技术[M].长春:吉林科学技术出版社,2019.08.37-38.

[5]赵华奇主编.眼科疾病临床实用技术[M].北京:科学技术文献出版社, ;2019.07.37-38.

相关科普