首页
我的
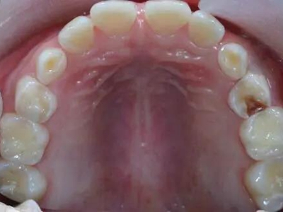
酸蚀症症状图片
本文由有来医生原创,经专业医师审核校对
所有图片质量和准确性经专业医生严格审查
张代杰
副主任医师 | 审核医师
山东大学齐鲁医院
|
口腔修复科
酸蚀症是因长期接触酸造成的牙体硬组织脱矿性疾病,以前多见于接触酸性物质的职业人员,现在则多见于饮食习惯不良导致的青少年。平时要注意勤刷牙漱口,少进食酸性食物,必要时可进行脱敏、修复治疗等。
酸蚀症症状图片
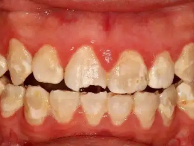
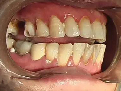
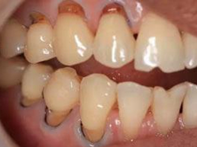
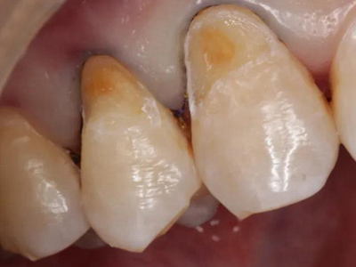
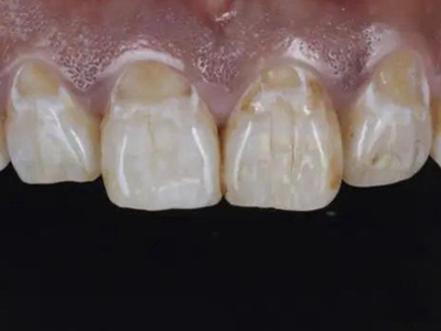
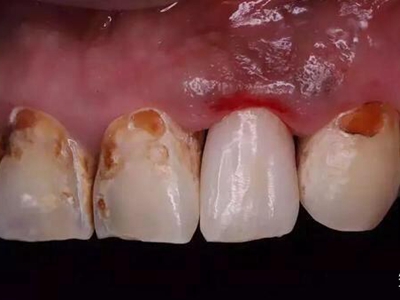
牙齿
缺损
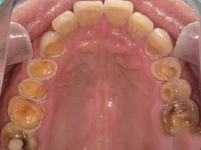
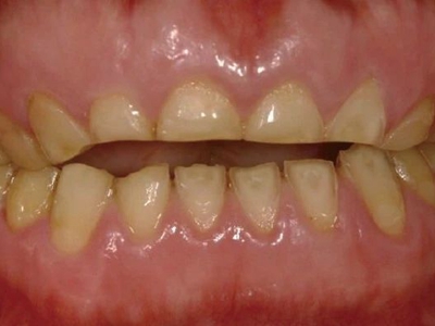
酸蚀症牙齿缺损不平整图
酸蚀症患者的牙齿会发生缺损,轻度时仅表现为牙齿尖端凹凸不平,有少量骨质缺失,缺损处有黄褐色至红褐色斑点,该病可能是长期接触外源性酸性物质而致病。
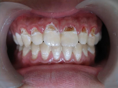
牙齿
黄斑
酸蚀症牙齿有黄斑图
酸蚀症可导致患者靠近牙根处有偏黄褐色的黄斑,形状不规则,质地较软,易崩碎而逐级形成实质性缺损,需保持口腔卫生,进行劳动保护。
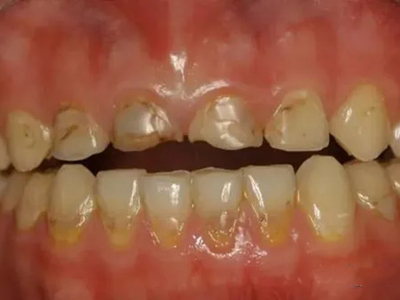
牙齿
缺损
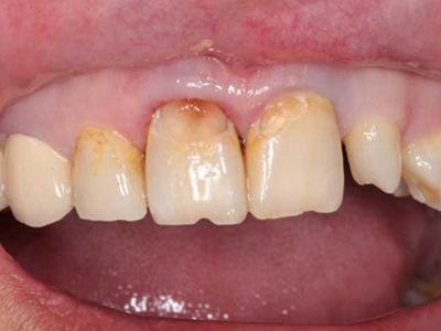
酸蚀症牙齿缺损有洞图
患酸蚀症时,牙齿可发生缺损,表现为牙列内侧有凹陷的坑洞形成,形状不规则,大小不一,坑洞处牙齿发黄,需积极控制病因,并进行充填修复治疗。
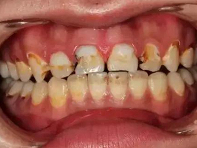
牙齿
缺损
酸蚀症牙齿有黄斑轻微缺损图
酸蚀症症状较轻时,患者牙齿靠近牙根处有黄斑形成,有少量牙骨质缺损,出现较小的凹陷坑洼,该病多是长期接触外源性酸性物质或胃液反流导致。
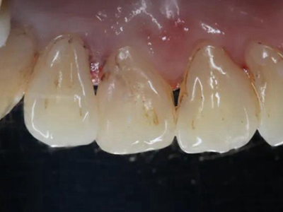
牙齿
白斑
酸蚀症牙齿有白斑图
酸蚀症患者的牙齿可出现白斑,形状不规则,境界较清,大部分位于靠近牙根处,其中一颗门牙白斑基础上还有较大的褐色斑块,部分患牙已出现凹陷的牙齿缺损,需进行充填修复治疗。
牙齿
黄斑
酸蚀症牙齿表面有黄斑图
发生酸蚀症时,会见到牙齿表面有大量黄斑,呈淡黄色至黄褐色,形态不一,黄斑边缘还有明显发白的白垩状斑块,该病是由口腔长期接触酸性物质而导致。
牙齿
缺损
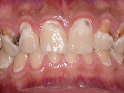
酸蚀症牙齿发黄有小块缺损图
酸蚀症患者的牙齿会出现颜色发黄,牙齿尖端有部分缺损,使切面凹凸不平,缺损处呈茶褐色。需积极避免再次接触酸性物质,并进行牙齿修复治疗。
牙齿
黄斑
酸蚀症牙齿表面有黄斑图
患酸蚀症时,牙齿表面有黄斑形成,境界不清楚,两颗上门牙中部及下牙牙根处较明显,呈黄褐色至褐色。该病主要是口腔长期接触酸性物质导致。
牙齿
缺损
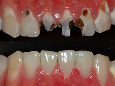
酸蚀症牙齿缺损了一块图
酸蚀症患者的牙齿会发生骨质缺损,会见到牙齿一侧有一块空洞,边缘不整齐,部分牙齿表面轻微发黄,需在医师指导下进行牙齿修复治疗。
牙齿
缺损
酸蚀症牙齿缺损发黄图
酸蚀症可使牙齿缺损,缺口不平整,是牙齿骨质有凹陷坑洞,缺损处颜色发黄,有一定酸涩感。若不干预,牙骨质会进一步被破坏,需控制酸性饮食,进行劳动保护。
牙齿
坑
酸蚀症前牙面出现浅沟凹陷小坑图
酸蚀症患者的单个牙齿前面靠近牙龈处出现浅沟凹陷,表面有小坑,颜色与正常牙齿相比明显发黄,用手指触摸表面时会感到凹凸不平,牙齿较为敏感,易受到冷、酸等外界刺激。
牙齿
黄斑
酸蚀症牙齿根部有白斑及黄斑图
酸蚀症可表现为牙齿根部有白垩状斑片,形态不规则,还可有偏茶褐色的黄斑。因牙根暴露较多,部分牙齿有轻微凹陷,需少进食酸性食物。
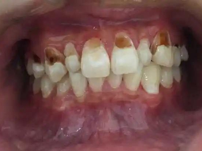
牙齿
缺损
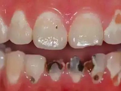
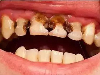
酸蚀症牙齿多处缺损发黄图
酸蚀症患者的牙齿会出现多处缺损,牙根部有不规则骨质剥脱,周围发黄,牙前侧也出现坑洼及大块缺损,使牙列不平整,可进行脱敏、修复治疗等。
牙齿
黄斑
酸蚀症牙齿表面有裂纹和黄斑图
发生酸蚀症时,牙齿表面会有骨质缺损,形成竖行裂纹,患牙有白垩状斑点及斑片,靠近牙根处有大片黄斑。该病的发生与口腔长期接触酸性物质有关。
牙齿
缺损
酸蚀症牙齿缺损牙根发黄图
酸蚀症患者的牙齿可发生缺损,牙列前端有三角形坑洼,使牙列凹凸不平,牙根向外暴露,颜色发黄。需积极控制致病因素,并进行牙齿修复治疗。
牙齿
缺损
酸蚀症牙齿缺损有坑洼图
发生酸蚀症时,牙齿会有缺损,呈圆形及不规则形坑洼状,牙齿表面发黄,坑洞处发黄更明显,牙龈可有局部充血发红。该病是口腔长期接触酸性物质导致。
牙齿
黑斑
酸蚀症牙齿根部有黑斑图
酸蚀症患者的牙齿根部可出现颜色改变,呈黑斑状,嵌在牙根处,形状不规则。患牙还可有部分牙骨质缺损,局部发黄,需积极进行牙齿修复治疗。
牙齿
缺损
酸蚀症牙齿缺损有个小洞图
酸蚀症可使牙齿缺损,会见到牙齿根部有个小洞,洞口形状不规则,洞内牙骨质呈黄褐色,周围有不均匀的白色斑片,需积极进行充填修复治疗。
牙齿
白斑 · 缺损
酸蚀症牙齿有白斑及缺损图
出现酸蚀症时,会见到牙齿表面有形状不规则的白斑,大部分靠近牙根部,部分牙齿已出现缺损,缺损处呈黄色及褐色。其发病是口腔长期接触酸性物质导致。
牙齿
黄斑
酸蚀症牙齿多处黄斑图
酸蚀症患者的牙齿常有多处黄斑,形状不规则,境界不清楚,使牙齿表面颜色斑驳杂乱,部分牙齿还有骨质缺损。患者需注意控制酸性饮食,并进行职业保护。
牙齿
缺损
酸蚀症牙齿缺损有三角形坑洞图
酸蚀症可使牙齿发生骨质缺损,呈三角形坑洞状,位于大牙一侧,坑洞内颜色发黄,伴有局部酸涩感。该病的发生与口腔长期接触酸性物质有关。
牙齿
斑
酸蚀症牙面缺一块有黄色斑块图
酸蚀症患者牙齿表面出现大片黄色或淡黄色斑块,轻微凹陷,具体形态不规则,周围会有针尖、粟状小斑点,由于长期饮用可乐、果汁等酸性饮料引起。
牙齿
缺损
酸蚀症牙齿缺损有凹陷图
酸蚀症患者牙齿缺损时,表现为部分骨质缺失,牙面有不规则凹陷,尤其两颗门牙病损较明显,表面凹凸不平,微微发黄,该病可能是长期大量饮用酸性饮料导致。
牙齿
缺损
酸蚀症牙齿缺损严重有黄斑图
酸蚀症严重时可导致牙齿发生大块缺损,上门牙侧面有较大空洞,形似虫蛀,缺损处颜色明显发黄,呈黄褐色至深褐色,需积极进行牙齿修复治疗。
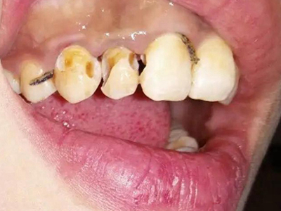
牙齿
缺损
酸蚀症牙齿缺损严重有黑斑图
酸蚀症严重时会使牙齿出现大面积缺损,有三颗下牙损毁严重,露出不整齐的牙骨质边缘,几乎仅余留牙根。缺损处有黑斑,局部呈黄褐色,需积极就医进行牙齿修复。
牙齿
缺损
酸蚀症牙齿缺损不整齐图
患酸蚀症时,牙齿会出现不规则的缺损,呈坑洞状及断裂状,表面不整齐,缺损处有黄褐色斑片。若不干预,缺损会进一步扩大,需积极就医,进行牙列修复治疗。
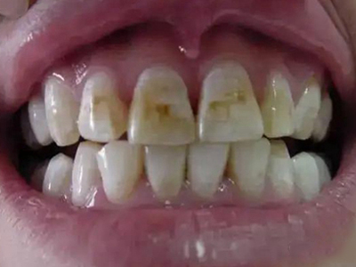
牙齿
黄斑
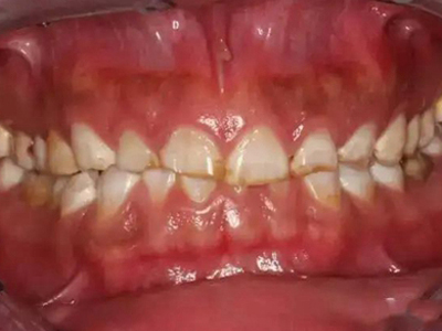
酸蚀症牙齿有不规则黄斑图
酸蚀症患者的牙齿会有黄斑形成,形状不规则,境界不十分清楚,呈茶渍样,尚未出现牙齿骨质缺损,需积极控制病因,避免进食酸性食物。
牙齿
缺损 · 黄斑
酸蚀症牙齿根部有黄斑及缺损图
酸蚀症患者的牙齿根部会出现黄斑,呈黄色至茶褐色,牙骨质缺损,形成坑洼,牙根变薄并暴露在外,黄斑下方还有白垩状斑片。其发生与口腔长期接触酸性物质有关。
牙齿
黄斑
酸蚀症牙齿有大量黄斑及白斑图
患酸蚀症时,牙齿表面可出现大量黄斑及白斑,交错分布,形状不规则,境界不清楚,牙面还有少量竖行裂纹,是牙骨质受破坏的表现,需积极防控致病因素。
牙齿
黄斑
酸蚀症牙齿有条纹状黄斑图
牙齿出现酸蚀症时,表现为黄斑形成,呈细碎的条纹状,分布于牙齿内侧、牙根及牙缝处,形似茶渍。该病的发生可能是长期大量饮用酸性饮料等导致。
牙齿
黑斑
酸蚀症牙齿有大量黑斑并缺损图
酸蚀症严重时,牙齿会有大量黑斑,呈黄褐色至黑褐色,且牙齿大范围缺损,仅遗留不规则团块状牙骨质,需积极就医进行牙齿修复治疗。
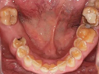
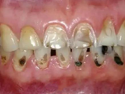
牙齿
缺损
酸蚀症后排牙齿大量缺损图
酸蚀症患者的后排牙齿可发生大量缺损,一侧牙齿遗留圆盘状牙根,形似被切割,另一侧牙齿有大量凹陷坑洞,部分牙齿颜色发黑或呈黄褐色,其发生与长期接触酸性物质有关。
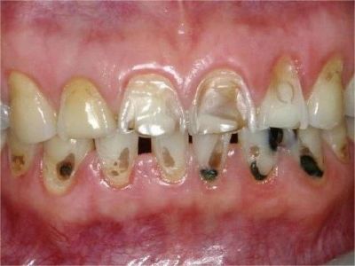
牙齿
缺损
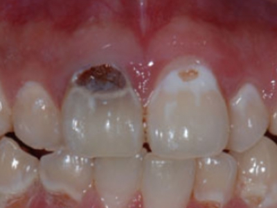
酸蚀症牙齿缺损发黑图
酸蚀症患者上门牙大部分缺失,累及周围牙体,牙釉质和牙本质出现大面积深度腐蚀破坏,牙颈部出现坑状缺损,露出黄褐色、黑色的缺损面牙体。
牙齿
缺损
酸蚀症牙齿缺损发黑图
酸蚀症患者的牙齿可出现局部缺损,一颗大牙侧面有半圆形空洞,缺损处颜色发黑,另一侧大牙表面有凹陷,凹陷处呈黄褐色。此时需进行牙齿修复治疗。
牙齿
缺损
酸蚀症牙齿缺损表面凹凸不平图
酸蚀症可使牙齿表面出现缺损,两颗上门牙表面有局部凹陷,使牙面凹凸不平,质地硬且无明显颜色改变,该病可能是盐酸腐蚀牙齿导致。
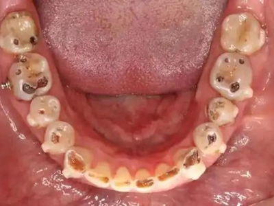
牙齿
缺损
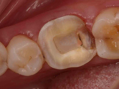
酸蚀症牙齿缺损有坑图
牙齿出现酸蚀症时,会有骨质缺损,牙冠表面有许多坑洼,大小不一,使之不平整,坑洞会随病情进展进一步扩大,需积极控制致病因素。
牙齿
缺损
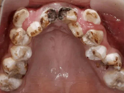
酸蚀症牙齿缺损颜色加深图
酸蚀症患者的牙齿牙冠面会出现多处缺损,下列牙齿均有不同大小的坑洞,表面坑洼不平,缺损处颜色加深,呈黄色至黑褐色,需进行牙齿修复治疗。
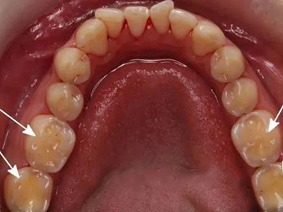
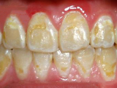
牙齿
黄斑
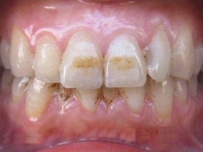
酸蚀症牙齿内侧有大片黄斑图
酸蚀症患者的牙齿内侧可出现大片黄斑,境界不清晰,深浅不均匀,呈淡黄色至黄褐色,牙齿骨质尚未出现缺损,需控制进食酸性食物,并治疗胃部疾病。
牙齿
缺损
酸蚀症牙齿缺损变短图
发生酸蚀症时,牙齿骨质会被腐蚀破坏,局部缺损,牙齿前半段几乎消失而变短,缺损边缘处发黄褐色。该病的发生与牙齿长期接触酸性物质有关。
牙齿
缺损 · 黄斑
酸蚀症牙齿缺损变薄有黄斑图
酸蚀症患者的牙齿会发生缺损,表面骨质被腐蚀,牙齿变薄,缺损处有黄斑形成,呈土黄色至黄褐色。此时牙齿易被折断,需进行牙齿修复治疗。
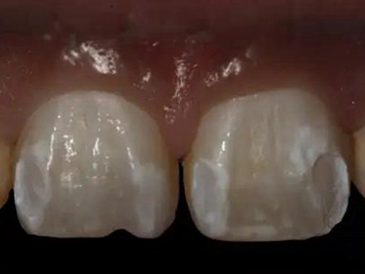
牙齿
白斑 · 缺损
酸蚀症牙齿有白斑局部缺损图
酸蚀症患者的牙齿可出现白斑,呈亮白色,异于正常牙色,斑块形状不规则,局部牙齿有缺损,形成凹凸不平的腐蚀面,需积极控制致病因素。
牙齿
缺损
酸蚀症牙齿有大量黄斑缺损图
牙齿出现酸蚀症时,会在腐蚀下出现大量黄斑,大小不一,形状不规则,还可有明显缺损,缺损处颜色较深,呈黑褐色,需及时进行牙齿修复治疗。
牙齿
缺损
酸蚀症牙齿大块缺损发黄图
严重的酸蚀症会使牙齿出现大块缺损,其中一颗门牙的一半被腐蚀而消失,残留的断口端呈黄褐色,另外三颗上牙牙根部有不规则的小片腐蚀斑。此时需注意避免继续使牙齿接触酸性物质。
牙齿
缺损
酸蚀症牙齿像被刀削掉一样有缺损图
酸蚀症患者表现为多个前牙有缺损,呈刀削状,创面整齐,遇到冷、热、酸、甜等食物刺激时牙齿敏感,严重时部分牙髓外露,呈残根状。
牙齿
黄斑 · 出血
酸蚀症牙齿有黄斑牙龈出血图
发生酸蚀症时,牙齿会有黄斑形成,境界不十分清楚,主要分布在牙根及牙缝处,靠近患牙的牙龈有轻微出血。该病的发生与口腔长期接触酸性物质有关。
牙齿
缺损
酸蚀症牙齿缺损牙根部暴露图
酸蚀症患者的牙齿会出现缺损凹陷,牙龈发白萎缩,牙根部向外暴露,牙齿发黄,整体呈淡黄色,其上有黄褐色斑点。该病可能是长期饮用酸性饮料导致。
牙齿
缺损
酸蚀症大块牙齿缺损发黑图
酸蚀症会使牙齿有大块缺损,会见到一颗大牙消失,留下一块空洞,其周围牙齿变色,呈黄褐色或发黑。此时需在医师评估下进行牙齿修复治疗。
牙齿
缺损
酸蚀症牙齿有黑斑局部缺损图
酸蚀症患者牙齿会出现黑斑,多分布在牙根部,小部分在牙面中间,其中部分牙齿有黄褐色斑块,表面不平整,有骨质缺损。患者需注意避免经常进食酸性食物。
牙齿
坑
酸蚀症牙齿内侧有凹坑发黄图
出现酸蚀症时,牙齿内侧会在腐蚀下形成凹陷的坑,大小不一,坑处牙齿表面发黄,形似茶渍。该病的发生可能与胃液反流,内源性酸性物质腐蚀牙面导致。
牙齿
缺损 · 黄斑
酸蚀症牙齿根部有缺损及黄斑图
酸蚀症患者的牙齿根部可发生缺损,边缘不规则,缺损处有明显黄斑形成,缺损会随病情进展而扩大,需积极控制致病因素,进行牙齿修复治疗。
牙齿
黄斑
酸蚀症牙齿根部有黄斑图
酸蚀症可使牙齿出现黄斑,境界不清,面积不大,主要分布于牙齿根部及牙缝处,呈淡黄色,牙齿尚未出现明显的骨质缺损,需减少进食酸性食物。
牙齿
黄斑
酸蚀症牙齿有黄斑牙龈萎缩图
酸蚀症患者的牙齿根部会有黄斑形成,边界模糊,周围有少量白斑,牙龈萎缩发白,露出牙根部。需控制致病因素,避免牙齿长期接触酸性物质。
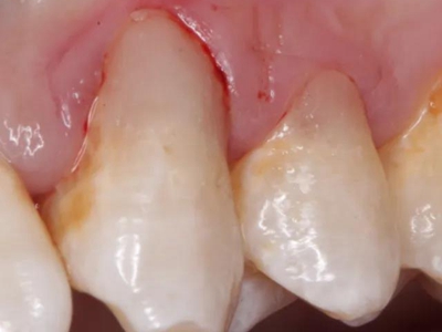
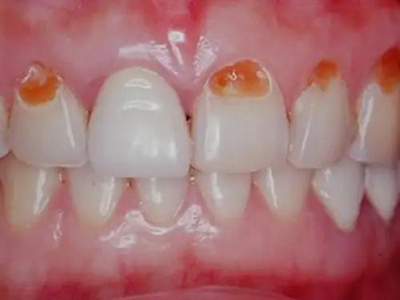
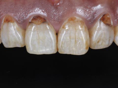
牙齿
斑 · 缺损
酸蚀症牙齿上有褐色斑块缺损图
酸蚀症常导致牙齿根部出现大小不一、形状不规则的凹陷性缺损面,其上有黄褐色或灰褐色的脱矿斑块,部分伴有牙龈出血、咀嚼痛等症状。
牙齿
白斑 · 缺损
酸蚀症牙齿上有白斑和缺损图
酸蚀症常导致牙齿上呈白垩色改变,即出现像粉笔末样一块块的白色或灰白色斑块,质地松软,会导致牙齿表面不平滑,颜色不均匀,并伴有牙齿缺损的现象。
牙齿
缺损
酸蚀症牙齿有缺口烂了图
酸蚀症常导致牙齿根部出现沟状凹陷性缺损,露出黄色牙本质,同时出现牙龈萎缩、牙齿敏感等现象,导致牙体硬组织上有黑色病理改变。
牙齿
斑 · 缺损
酸蚀症牙齿缺损伴有褐色斑块图
酸蚀症会导致患者门牙牙齿切缘出现缺损,缺损面整齐,同时会出现牙齿根部沟状损害,其上有黄褐色斑块,牙齿较敏感。
牙齿
缺损
酸蚀症牙齿有一列缺损图
酸蚀症患者的牙齿可发生牙体实质破坏,表现有一列牙齿缺损,呈刀切状,咬合时靠近前部的牙齿无法对合,该病是口腔长期接触酸类物质而导致。
酸蚀症相关知识
酸蚀症早期仅出现牙敏感,以后逐渐出现牙体组织实质性缺损,具体表现因酸的种类不同而有所差异。例如饮用可乐、果汁等酸性饮料导致的酸蚀症,一般发生在釉牙骨质界,轻者出现沟状损害,重者出现大面积深度破坏,继而呈现出牙骨质及牙本质的颜色,即黄色或淡黄色。硝酸所致者多表现为牙颈部白垩状、黄褐色或灰色脱矿斑块。
酸蚀症的直接病因是酸或酸酐,制酸、汽车电池、电镀材料等行业的从业人员,可能接触外源性酸性物质,属于高危人群。此外,长期大量饮用可乐、果汁等酸性饮料,也容易引起酸蚀症,常破坏前牙唇面。胃液反流属于内源性酸性物质,主要是牙舌腭侧受损。
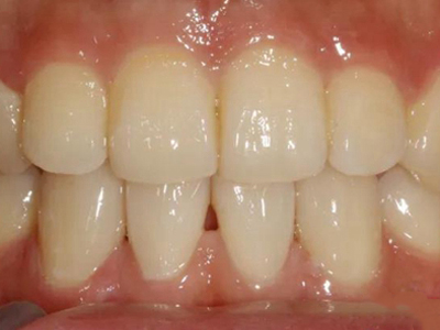
酸蚀症患者要注意进行牙齿保护,刷牙漱口,少进食酸性饮食,积极治疗消化系统疾病。症状较轻时可进行脱敏治疗,牙缺损严重者可采用充填修复治疗,出现牙髓根尖周病变者需行根管治疗,注意定期复查。
参考文献
[1]张志愿.口腔科学.第9版[M].北京.人民卫生出版社.2018.49.
[2]张震康,俞光岩,徐韬.实用口腔科学.第4版[M].北京.人民卫生出版社.2016.39-40.
相关科普
什么是酸蚀症
任光辉
烟台市口腔医院
酸蚀症原因和预防
张瑾
山东省口腔医院
牙酸蚀病是怎么回事
李琼瑛
湖南省职业病防治院
牙酸蚀病有什么表现
孙晓娜
无锡口腔医院
牙酸蚀病怎么治疗和预防
李琼瑛
湖南省职业病防治院
引起酸血症的利尿药
马强
中国人民解放军总医院
乳牙龋蚀的特点
林建荣
银川市口腔医院
喝碳酸饮料会得牙酸蚀病吗
孙晓娜
无锡口腔医院
酮酸症中毒是什么意思
吴春波
北京大学人民医院
蚀痦子后几天可以洗脸
汪晨
中日友好医院