自体敏感性湿疹症状图片

本文由有来医生原创,经专业医师审核校对
所有图片质量和准确性经专业医生严格审查

自体敏感性湿疹是患者对自身所患皮肤病变经刺激后,因某种物质吸收后,产生的过敏而引起的皮肤炎症反应。自体敏感性湿疹在发疹前通常已经有局限性皮炎或湿疹症状,过度刺激或处理不当可出现全身性发疹,临床需积极治疗原发灶以缓解皮肤症状。

自体敏感性湿疹症状图片

自体敏感性湿疹相关知识

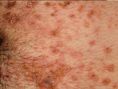
自体敏感性湿疹发病前常先有皮肤的原发病变,经各种不适当的刺激后,原发病灶急性加重,出现红肿、糜烂和渗液。经过1-2周后出现继发灶,即继发性皮疹,皮损往往对称分布,好发于四肢、躯干,面颈部少见。
继发灶的皮疹形态,多呈成堆出现粟米大红色丘疹和浆液性小疱,迅速融合成小片状,表面糜烂渗液,形成菲薄浆液性痂,随后形成鳞屑,留有色素沉着而愈合。
自体敏感性湿疹是一种过敏反应,是由于患者对自身所患皮肤病的局部病变组织所产生的某些物质过敏所致。病前常在躯体某些部位有湿疹化疾病,如淤积性皮炎、钱币状湿疹、接触性皮炎等,当局部处理不当,如过度搔抓、外用药物刺激、并发感染而使局部产生组织分解物质或细菌产物等,形成一种特殊的自身抗原,吸收后而发生致敏作用,致使原病灶周边或全身出现皮疹。
发生自体敏感性湿疹后,处理的关键在于治疗原发性病灶,针对原发灶的皮损特点予以相应处理。如有继发感染,应选用敏感的抗生素局部外用或口服。可口服抗组胺类药、维生素C,也可口服清热利湿的中药进行治疗。

参考文献

[1]任少杰等主编.常见皮肤病中西医临床综合诊治[M].武汉:湖北科学技术出版社.2015.107.

[2]张丽芹等主编.现代临床皮肤性病治疗实践[M].长春:吉林科学技术出版社.2018.72.

[3]魏姝玥等主编.实用临床皮肤性病学 ;上[M].长春:吉林科学技术出版社.2016.133.

相关科普