色素失调症症状图片

本文由有来医生原创,经专业医师审核校对
所有图片质量和准确性经专业医生严格审查

色素失调症是一种少见的X连锁显性皮肤色素异常性疾病,伴随眼部、牙齿和中枢神经系统的表现。本病存在色素上皮的基底层有黑色素细胞“失调”的组织学特点,在皮肤表面能发现这种表现。婴儿会出现斜视、视网膜色素改变等;皮肤可出现大理石样花纹;牙齿可表现为发育不良。

色素失调症症状图片

色素失调症相关知识

色素失调症超过40%的患者会累及到眼部,部分婴儿会有斜视、视网膜色素改变、弥漫性色素减退和黄斑中心凹发育不全。皮肤表现包括出生后水疱,之后发展为脱屑性红斑,继而是旋涡样色素沉着(大理石样花纹表现)以及瘢痕形成。
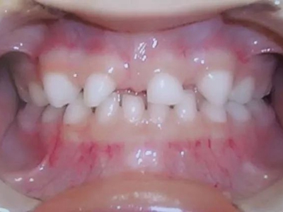
超过90%的受累患者可发生牙部异常,包括发育不良、延迟出牙、畸形、锥形牙冠。相关的中枢神经系统异常包括癫痫、痉挛性麻痹以及智力障碍。
色素失调症属于X-连锁显性遗传,由于染色体突变导致发病。男婴大多死在胎中,女婴可能会分娩降生。
色素失调症的患儿在早期应仔细检查视网膜以发现视网膜周边无灌注。如果存在病变,密切随访可能早期发现一些病变改变,这些发现可能提示视网膜新生血管、血管渗漏和牵拉的发展。如果出现以上改变发展,可以使用激光光凝术试图阻止视网膜牵拉和脱离的进展。

参考文献

[1](美)伦纳德·B.尼尔森主编;杨士强,李月平,鞠宏主译.小儿眼科[M].天津.天津科技翻译出版有限公司.2016.121.

[2]陈光福.实用儿童脑病学.第1版[M].北京.人民卫生出版社.2016.86.

相关科普