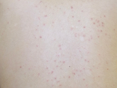
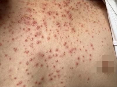
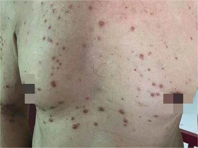
马拉色菌毛囊炎症状图片

本文由有来医生原创,经专业医师审核校对
所有图片质量和准确性经专业医生严格审查

马拉色菌毛囊炎是由马拉色菌感染引起的毛囊皮脂腺炎症性皮肤病。马拉色菌可在促发因素影响下在毛囊内大量繁殖,导致毛囊阻塞产生炎症而发病。本病多发生在中青年,男性多于女性,好发于颈、前胸、肩等部位,多对称发生,典型皮损为炎性毛囊性丘疹、丘疱疹或小脓疱。

马拉色菌毛囊炎症状图片

马拉色菌毛囊炎相关知识

马拉色菌毛囊炎多累及中青年,男性多于女性,好发于颈、前胸、肩背等部位,多对称发生。典型皮损为炎性毛囊性丘疹、丘疱疹或小脓疱,半球形,周边有红晕,可挤出粉脂状物质,常数十至数百个密集或散在分布。有不同程度的瘙痒,出汗后加重,患者常存在多汗、油脂溢出,可合并花斑糠疹和脂溢性皮炎。
马拉色菌毛囊炎的病原菌多为球形马拉色菌,马拉色菌是人体正常寄生菌,在促发因素影响下(如长期使用糖皮质激素或广谱抗生素等),马拉色菌就可在毛囊内大量繁殖,其脂肪分解酶将毛囊部位的甘油三酯分解成游离脂肪酸,后者可刺激毛囊口产生较多脱屑并造成阻塞,使皮脂潴留,加之游离脂肪酸的刺激致毛囊扩张破裂,导致毛囊内容物释放入周围组织,产生炎症反应。
马拉色菌毛囊炎应尽量祛除诱因,由于本病部位较深,应选择渗透性好的外用抗真菌药(如酮康唑乳膏),亦可辅以酮康唑洗剂或二硫化硒香波洗澡。对皮损泛发、炎症较重且外用药物治疗效果不好时,可联合口服抗真菌药。

参考文献

[1]张学军,郑捷.皮肤性病学.第9版[M].北京.人民卫生出版社.2018.91.

[2]朴永君.皮肤性病学.高级医师进阶.第1版[M].北京.中国协和医科大学出版社.2016.195-196.

[3]张学军.皮肤性病学高级教程.第1版[M].北京.人民军医出版社.2010.127.

[4]任成山,王甲汉,牛广政等.现代临床疾病防治学.下册.第1版[M].郑州.郑州大学出版社.2012.2328.

相关科普