急性卡他性结膜炎症状图片

本文由有来医生原创,经专业医师审核校对
所有图片质量和准确性经专业医生严格审查

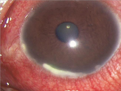
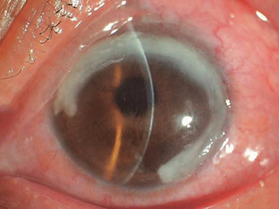
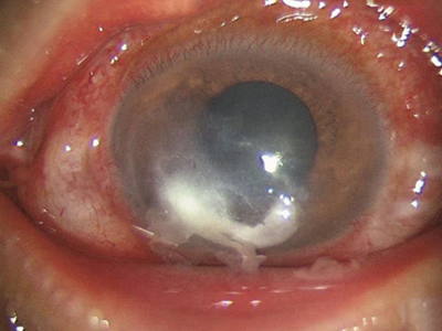
急性卡他性结膜炎为常见的传染性眼病,主要由细菌感染引起,感染后潜伏期短,发病急,双眼可同时或先后发病,病情较轻者可出现眼部异物感,严重者可能出现畏光、视物不清等表现。一般经过积极治疗后2周左右可好转。

急性卡他性结膜炎症状图片

急性卡他性结膜炎相关知识

急性卡他性结膜炎发病后,轻者有眼部不适或异物感,重者有畏光、流泪、眼部烧灼感,分泌物过多时可出现一过性视物不清。眼部检查可见眼睑轻微肿胀,睑结膜及穹隆部结膜充血明显,球结膜水肿,结膜下可见出血点,有黏液或黏液脓性分泌物。偶见有角膜合并症,表现为角膜周边部的灰白色小浑浊点,甚者出现边缘性角膜浸润或溃疡。少数患者可同时有上呼吸道感染症状。
急性卡他性结膜炎为细菌感染导致,常见致病菌包括肺炎链球菌、葡萄球菌等,细菌可通过多种媒介令人接触感染,如手、毛巾、水等,传染力较强,易造成广泛流行。
急性卡他性结膜炎可遵医嘱局部滴用抗生素滴眼液,如氧氟沙星滴眼液、盐酸环丙沙星滴眼液等,或睡前使用抗生素眼膏,延长药物作用时间。另外,也可局部冷敷缓解眼部不适或刺激症状。需注意,急性期需做好隔离措施,避免共用个人物品,以免交叉感染。

参考文献

[1]王承明.全科医学 ;高级医师进阶.第1版[M].北京.中国协和医科大学出版社.2016.505-506.

[2]杨培增,范先群.眼科学.第9版[M].北京.人民卫生出版社.2018.87.

[3]张会明,曹春蕾,璋轶主编.全科医师急症救治手册 ;第2版[M].郑州:河南科学技术出版社,2017.09.250-251.

相关科普