黄斑裂孔症状图片

本文由有来医生原创,经专业医师审核校对
所有图片质量和准确性经专业医生严格审查

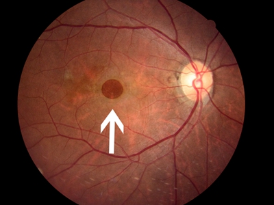
黄斑裂孔是指黄斑的神经上皮层的局限性全层缺损,可由外伤、病理性近视、老年性退行性病变等各种原因引起,在临床较为常见,主要表现为黄斑部出现暗红色或黄色裂孔等。必要时可在医生指导下行手术治疗。

黄斑裂孔症状图片

黄斑裂孔相关知识

黄斑裂孔者通常可出现程度不等的视力减退,多有视物变形和中央暗点,眼底表现为黄斑部有一圆形或椭圆形的边界清晰的暗红色或黄色孔。视野检查有与黄斑裂孔对应的中心或旁中心暗点,周边视野正常。
黄斑裂孔是指发生于黄斑区的视网膜裂孔,各种原因如外伤、老年性退行性病变,或是黄斑中心凹前的玻璃体切线方向的牵拉等,均可能导致黄斑区视网膜组织的缺损,由于视网膜内界膜至感光细胞层发生组织缺损,从而形成裂孔。
黄斑裂孔部分患者可长期不发展,故可随访观察。另外,临床治疗多采用玻璃体切除术,可切除中心凹前的玻璃体皮质,消除粘连于黄斑区的玻璃体对中心凹切线方向的牵引,从而达到较好的治疗效果。

参考文献

[1]杨培增,范先群.眼科学.第9版[M].北京.人民卫生出版社.2018.199.

[2]葛均波,徐永健.眼病学.第3版[M].北京.人民卫生出版社.2017.148.

[3]张旭东.实用眼科学.第1版[M].北京.科学出版社.2015.149.

相关科普