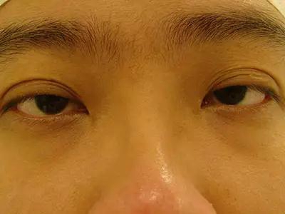
眼睑皮肤松弛症症状图片

本文由有来医生原创,经专业医师审核校对
所有图片质量和准确性经专业医生严格审查

眼睑皮肤松弛症多见于老年人,由于上眼睑皮肤过度松弛萎缩、水肿,皮肤变薄且轻度发红,造成眼睑下垂,如同窗帘一样遮挡视线导致视野缩小。同时,因加重了眼的负担而易于发生视疲劳,致使患者不愿睁眼,还可压迫上眼睑睫毛导致睑内翻或倒睫。

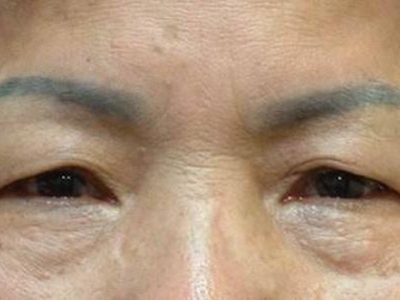
眼睑皮肤松弛症症状图片

眼睑皮肤松弛症相关知识

眼睑皮肤松弛症临床表现通常出现在青春期,随着时间的推移,发作频率降低。可表现为多余和萎缩的眼睑皮肤像皱褶的卷烟纸,严重的病例因拉伸的眦韧带和提上睑肌腱膜可能导致眼睑下垂。同时可能会出现泪腺脱垂、睑内翻和倒睫等症状。
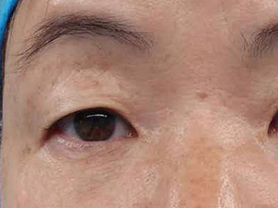
眼睑皮肤松弛症是由于上眼睑皮肤过度松弛、萎缩而导致,眼睛负担加重,易于发生视疲劳。
对于眼睑皮肤松弛症,应及早行上睑皮肤松弛切除矫正术,通过整容去除多余上睑皮肤,矫正上睑下垂。

参考文献

[1]Jack ;J ;Kanski,Brad ;Bowling.Kanski临床眼科学.第7版[M].北京.北京大学医学出版社.2015.50.

[2]张旭东.实用眼科学.第1版[M].北京.科学出版社.2015.85.

相关科普