首页
我的
牙釉质发育不全症状图片
本文由有来医生原创,经专业医师审核校对
所有图片质量和准确性经专业医生严格审查
张代杰
副主任医师 | 审核医师
山东大学齐鲁医院
|
口腔修复科
牙釉质发育不全是在牙齿发育期间由于多种原因影响导致的牙釉质改变。轻者表现为牙冠形态完整,但有白垩色釉质,而重者牙面可出现棕色凹陷。本病的发生和全身疾病、营养障碍、乳牙根尖周感染等因素有关,需要注意防龋,必要时进行修复治疗。
牙釉质发育不全症状图片
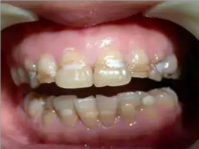
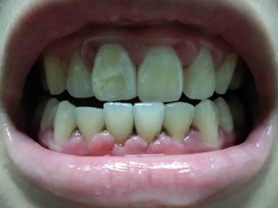
牙齿
白斑
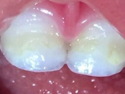
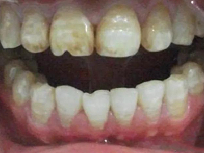
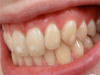
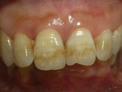
牙釉质发育不全牙齿白斑图
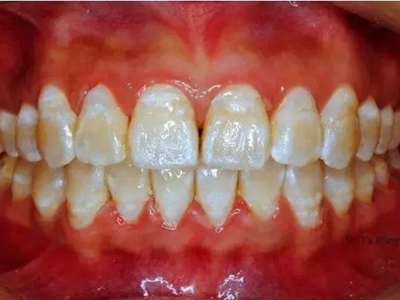
牙釉质发育不全患者可以仅仅出现牙齿色泽和透明度的改变,形成白垩色釉质,即类似于牙齿上有白斑,此时牙冠形态通常较完整。
牙齿
白斑
牙釉质发育不全牙齿上出现白色的斑块图
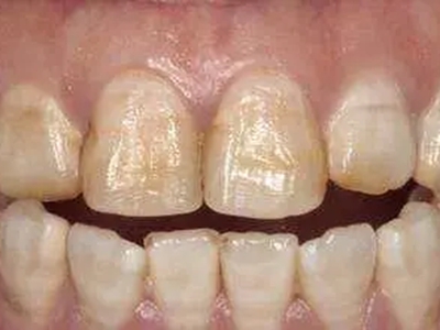
牙釉质发育不全患者牙釉质表面出现白垩色釉质,表现为牙齿表面色泽不均匀,一般无自觉症状,并且此时牙冠形态较为完整,顶端出现小的缺损。
牙齿
坑
牙釉质发育不全牙表面上有坑图
牙釉质发育不全发展到严重时,导致牙釉质表面缺损,表现为带状、窝状的褐色凹坑,容易积存食物残渣诱发龋齿,表现为牙齿边上出现深褐色小洞。
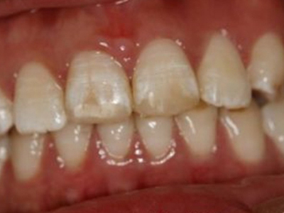
牙齿
变薄
牙釉质发育不全牙齿变薄图
牙釉质发育不全患者的牙齿有色泽和透明度改变,表面出现白垩色釉质,同时牙齿顶端变透明、变薄,但患者可能无敏感、疼痛等自觉症状。
牙齿
白斑
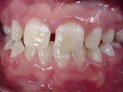
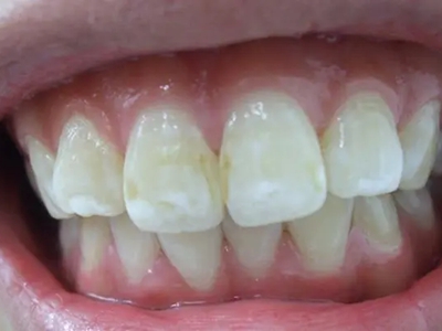
牙釉质发育不全牙齿表面有白色斑块图
牙釉质发育不全患者病情较轻时,只出现色泽、透明度改变,牙齿表面出现不规则的白色斑块,透光度降低,但牙齿形态较完整,无明显缺损。
牙齿
坑
牙釉质发育不全牙齿上有褐色坑图
牙釉质发育不全的患者随着疾病逐渐发展,除了出现牙齿表面发白、不通透外,还可有褐色的条状、窝状凹陷,继之出现数条并列的凹陷。
牙齿
条纹
牙釉质发育不全牙齿有条纹凹陷图
牙釉质发育不全患者牙齿上出现棕褐色的条纹凹陷,部分融合成一小片,牙齿整体发白,形态较完整,患者无明显疼痛、流血等异常表现。
牙齿
坑
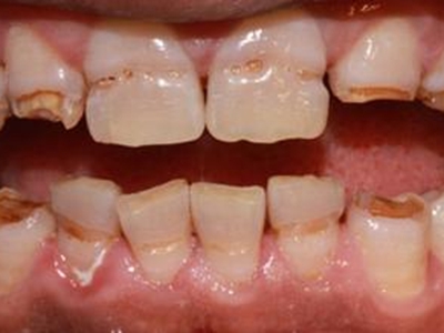
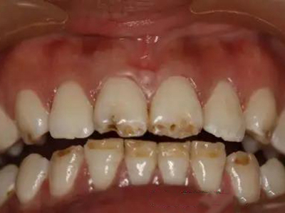
牙釉质发育不全牙齿上棕色的坑图
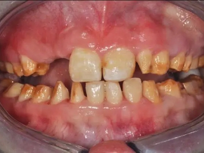
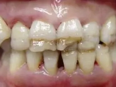
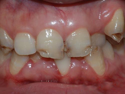
牙釉质发育不全程度严重时,牙齿上出现较深的条状、点状凹陷,内含深褐色物质,并且牙齿尖端的牙釉质缺失,牙齿变得相对脆弱。
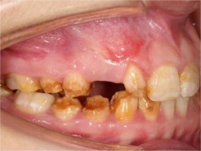
牙齿
缺损
牙釉质发育不全牙齿棕色有缺损图
牙釉质发育不全患者牙齿出现明显的缺损表现,并于表面形成深褐色的蜂窝状、竖条状的凹坑,甚至形成洞,患者上下牙失去咬合能力。
牙齿
条纹
牙釉质发育不全牙齿上深褐色的纹图
牙釉质发育不全初期可出现牙齿色泽和透明度的改变,牙齿透光度下降,表面出现棕褐色的条状凹陷,一般无敏感、疼痛等自觉症状。
牙齿
白斑 · 小坑
牙釉质发育不全牙齿表面有白斑和小坑图
牙釉质发育不全患者牙齿表面出现多处白斑,形成白垩色釉质,同时牙面有不规则的黄色小坑,一般无自觉症状,患者应注意口腔卫生,预防龋病。
牙齿
白斑
牙釉质发育不全牙齿有白斑图
牙釉质发育不全病情较轻时,会导致牙齿色泽和透明度改变,形成白垩色釉质,表现为牙齿不规则白斑,此时牙冠形态比较完整,患者无其他不适症状。
牙齿
小坑
牙釉质发育不全牙齿褐色有一个小凹坑图
牙釉质发育不全累及单颗牙齿时,患者日常无明显的不适感觉,只是在照镜子时发现牙齿表面出现深褐色的沉积斑块,像是被咖啡等染色一样,但是无法刷掉,触摸时有小坑的感觉。
牙齿
小坑
牙釉质发育不全牙齿有小坑图
牙釉质发育不全发展到一定程度时,牙面出现带状、窝状棕色小坑,并且受累牙往往呈对称性,但患者可无刺激痛、咬合痛等自觉症状。
牙齿
斑
牙釉质发育不全牙齿有褐色斑图
牙釉质发育不全导致牙齿表面的色泽和光泽度发生改变,牙齿形态较完整,仅有单颗牙齿顶端存在凹坑,多无疼痛等自觉症状,同时出现白垩色釉质,并有褐色斑的情况。
牙齿
坑
牙釉质发育不全牙齿有褐色凹坑图
牙釉质发育不全病情较严重时,牙齿表面出现棕褐色的条状凹陷,位于牙根近牙龈部位,边缘存在白垩色釉质,患者可不伴随牙齿疼痛、敏感等不适。
牙齿
白斑
牙釉质发育不全牙上发白图
轻度的牙釉质发育不全患者,牙齿出现色泽和透明度的改变,此时不会影响牙齿的完整形态,也不会导致疼痛不适,仅表现为牙齿上有白色斑点、牙列不齐。
牙齿
白点
牙釉质发育不全牙齿上有白点图
牙釉质发育不全病情较轻者,只表现为牙齿上有白点,形状不规则,造成牙齿的透明度下降,但牙齿形态依旧完整,也不影响进食。
牙齿
白斑
牙釉质发育不全牙齿有白斑图
牙釉质发育不全患者牙齿上出现不规则形状的白色斑块,无牙齿的缺损,但可存在牙龈肿胀、出血的表现。
牙齿
条纹
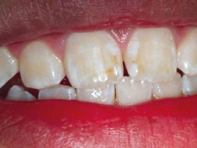
牙釉质发育不全牙齿表面有褐色条纹图
牙釉质发育不全发展到重度时,导致牙齿表面出现棕褐色的凹陷,呈条状、窝状,可出现数条并列的条状病损,牙齿也易磨损,发生断裂。
牙齿
坑
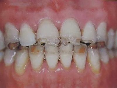
牙釉质发育不全牙齿表面棕色有坑图
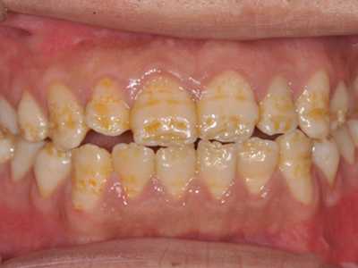
牙釉质发育不全导致牙釉质表面呈棕褐色,有带状、窝沟状凹陷,以及黑点,牙釉质大面积缺损,牙齿表面变得粗糙,可出现进食时敏感等不适。
牙齿
小坑
牙釉质发育不全牙面上棕色小坑图
重度牙釉质发育不全患者牙面出现带状或蜂窝状棕色小坑,累及多个牙齿,无明确的分布规律,严重影响牙齿美观,建议通过牙齿修复治疗恢复牙齿外观。
牙齿
条纹
牙釉质发育不全牙齿中间有棕色条纹图
重度牙釉质发育不全患者牙齿表面呈棕褐色,牙釉质大面积缺损,其上有并列的条状凹陷,部分牙尖缺损,导致咬合关系被破坏,并出现疼痛等自觉症状。
牙齿
白斑
牙釉质发育不全牙齿有白斑图
牙釉质发育不全程度较轻时,导致牙齿表面发白,出现白斑样釉质,导致牙齿透明度下降,同时牙根部位出现棕褐色的带状凹陷,像是没刷牙一样。
牙齿
小坑
牙釉质发育不全牙齿有小坑图
牙釉质发育不全导致牙齿表面白垩色、黄褐色,并有窝沟状小坑位于牙齿的两侧,类似龋齿的小洞,但此时可无疼痛、敏感等自觉症状。
牙齿
白斑
牙釉质发育不全牙上有白色斑点图
牙釉质发育不全初期导致患者牙齿色泽发生改变,牙釉质呈白垩色、黄褐色,从而出现牙上有白色和黄色斑点的情况,并逐渐出现条状凹陷。
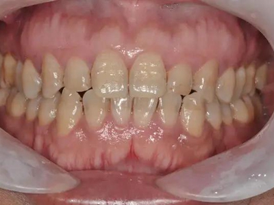
牙齿
纹
牙釉质发育不全牙齿中间有横纹图
牙釉质发育不全严重时,导致患者牙齿表面出现凹陷,呈并列的横沟,牙釉质表面呈棕褐色,牙齿易受磨损,顶端发生断裂,舌头舔舐时有摩擦感。
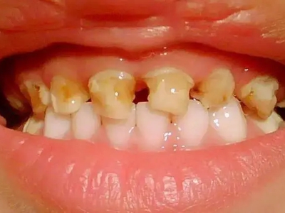
牙齿
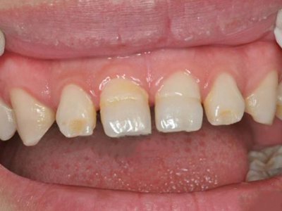
缺损 · 发黄
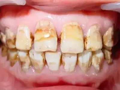
牙釉质发育不全牙齿发黄缺损图
牙釉质发育不全发展到严重程度时,牙釉质表面呈棕黄色,表面有褐色凹陷,并且导致牙釉质大面积缺损,部分牙齿甚至有牙尖缺损。
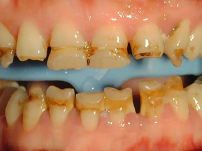
牙齿
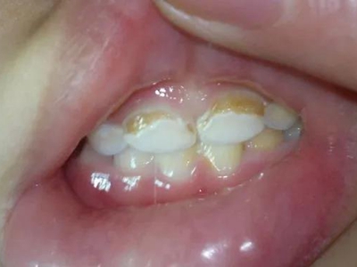
小坑 · 缺损
牙釉质发育不全牙齿缺损有小坑图
重度牙釉质发育不全导致牙釉质表面呈棕褐色、棕黄色,其上有条状、窝状凹陷,并出现牙齿缺损,导致咬合关系破坏,也会出现对刺激敏感、疼痛等自觉症状。
牙齿
缺损
牙釉质发育不全牙齿缺损图
牙釉质发育不全磨牙后,牙齿表面的牙冠快磨没了,出现牙齿缺损现象,露出牙髓,缺损面粗糙不平,同时存在牙龈肿胀、牙齿松动或移位等现象,肉眼可见缺损面颜色发黄或发黑。
牙齿
黄斑
牙釉质发育不全牙齿黄斑图
牙釉质发育不全患者的牙齿表面出现淡黄斑,呈条纹状或不规则状,导致牙齿看起来有些脏污,患者无自觉不适,牙齿功能正常,建议到口腔科就诊,恢复牙齿外观。
牙齿
小坑
牙釉质发育不全牙齿有小坑图
牙釉质发育不全表现为牙面出现蜂窝状的棕色小坑,在前牙牙面散在分布,同时前牙切缘变薄,无其他自觉症状,患者应注意牙齿清洁,避免病损进一步加重。
牙齿
横沟
牙釉质发育不全牙齿横沟图
牙釉质发育不全可导致牙齿发黄,表面出现横沟,左右牙齿呈对称性发病,患者无其他自觉症状,应注意牙齿清洁,避免病损进一步加重。
牙齿
黄斑
牙釉质发育不全牙齿长黄斑和小坑图
牙釉质发育不全患者的牙齿表面出现大大小小的黄斑,还伴有很多小坑,导致牙面凹凸不平,患者一般无自觉症状,应到口腔科就诊,预防龋病。
牙齿
白斑
牙釉质发育不全牙齿长白斑凹凸不平图
牙釉质发育不全表现为牙齿变色发白,出现白垩色的斑块,伴随釉质表面出现着色深浅不一的窝或沟状缺损,呈凹凸不平样,患者可进行复合树脂、贴面或烤瓷冠等美容修复。
牙齿
发黄
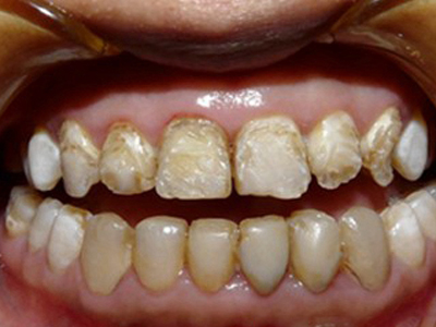
牙釉质发育不全牙齿发黄图
牙釉质发育不全患者牙齿发黄,严重时牙釉质完全缺损、脱失,表现为牙冠表面粗糙,不光滑,失去正常形态,患者应注意牙齿清洁,避免出现龋坏。
牙齿
横沟
牙釉质发育不全牙齿横沟伴缺损图
牙釉质发育不全会导致牙面出现带状的黄褐色横沟,可累及多个牙齿,较为严重时伴有牙齿不规则缺损,患者无疼痛、敏感等异常症状。
牙齿
发白
牙釉质发育不全牙齿发白长黄斑图
牙釉质发育不全患者牙齿表面发白,呈白垩色,通透性差,部分牙面上出现黄斑,以及小坑和横沟,其内容易积存食物残渣而诱发龋齿,患者无明显疼痛感觉。
牙齿
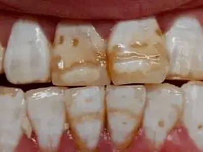
白斑
牙釉质发育不全牙齿长白斑和黄斑图
牙釉质发育不全表现为牙齿釉质表面出现斑块,呈白斑以及黄斑样,边界不清,形状不一,容易诱发龋病,患者一般无自觉症状,必要时进行修复治疗。
牙齿
黄斑
牙釉质发育不全牙齿发白长黄斑图
牙釉质发育不全主要表现为牙齿颜色的改变和釉质缺损,可见牙齿呈白垩色改变,光泽度稍差,变得不透明,还可见表面有黄褐色斑块,有轻微凹陷。
牙齿
黄斑
牙釉质发育不全牙齿长黄斑图
牙釉质发育不全表现为牙齿釉质表面出现黄斑,颜色深浅不一,呈浅黄色至黄褐色不等,还可伴有窝沟状缺损,导致牙齿表面不平整,一般无自觉症状。
牙齿
黄斑
牙釉质发育不全牙齿发白表面有黄色斑块图
牙釉质发育不全典型表现为牙齿的牙釉质在发育过程中受到影响,出现牙齿发白不透明的症状,伴随黄色斑块和牙齿釉质缺损,可使用复合树脂、烤瓷冠等方法进行修复治疗。
牙齿
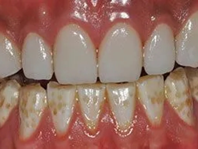
小坑
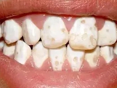
牙釉质发育不全牙齿表面有棕色小坑图
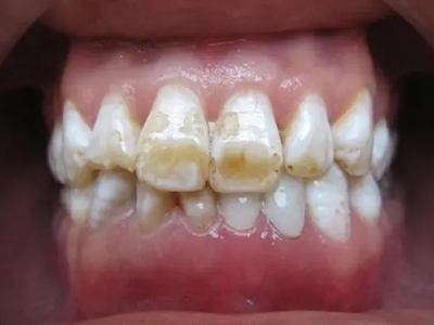
牙釉质发育不全患者牙面出现较多棕色小坑,大小不一,直径2mm-5mm,散在分布于上下牙面,患者自觉无明显不适症状。
牙齿
黄斑
牙釉质发育不全牙齿长黄色斑点图
牙釉质发育不全患者牙面上有众多的黄色斑点,散在分布,部分黄色斑点为凹陷状,呈表浅的小坑样,通常会累及多个牙齿,患者无疼痛、敏感等异常症状,建议进行牙齿修复治疗。
牙齿
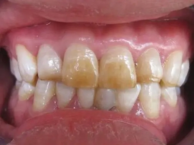
发黄
牙釉质发育不全牙齿发黄图
牙釉质发育不全可导致牙齿大面积发黄,且出现褐色斑块,像被烟渍、咖啡等染色一样,刷牙时无法自行刷掉,严重者牙齿出现部分缺损,导致形态不完整。
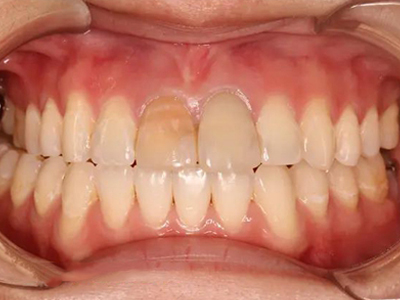
牙齿
白斑
牙釉质发育不全牙齿白斑图
牙釉质发育不全轻者仅在牙齿釉质表面出现白垩色的斑块,导致牙齿的透明度降低,还可伴有一些黄色斑片,患者可遵从医生指导采取涂氟治疗。
牙齿
缺损
牙釉质发育不全牙齿部分缺损图
牙釉质发育不全重者牙齿失去正常形态,牙釉质出现缺损和脱失,其内的牙本质呈黄斑样露出,可严重影响牙齿的咀嚼功能,可遵医嘱进行冠修复治疗。
牙齿
黄斑
牙釉质发育不全牙齿长黄斑和白斑图
牙釉质发育不全表现为牙齿长黄斑,大片的黄斑边界不清,像被咖啡染色,牙刷不能刷掉,部分牙齿表面还可出现白斑,导致牙齿的透明度降低。
牙齿
缺损
牙釉质发育不全牙齿有多个褐色的小坑图
牙釉质发育不全患者的牙齿切缘处出现多个褐色的小坑及小片缺损,表面凹凸不平,牙齿形态不完整,可使用复合树脂、烤瓷冠等方法进行修复治疗。
牙齿
白斑 · 横沟
牙釉质发育不全牙齿表面有白斑和横沟图
牙釉质发育不全患者,其牙齿整体可呈灰黄色,表面出现白斑及横沟样的凹陷,由于致病因素出现在牙发育期,故受累牙往往呈对称性。
牙齿
白斑
牙釉质发育不全牙齿发黄表面有白斑图
牙釉质发育不全会导致牙齿发黄,伴随牙面上出现不透明的白垩状斑块,部分牙齿表面会出现点状、沟状的凹陷,导致牙齿看起来凹凸不平。
牙齿
黄斑
牙釉质发育不全牙齿长黄斑图
牙釉质发育不全患者的牙齿上出现大小不等、形状不一的黄斑,严重患者由于继发龋病,而导致牙齿龋坏、脱落、缺失,患者的咀嚼功能可严重受损。
牙齿
黄斑
牙釉质发育不全牙齿有黄斑图
牙釉质发育不全患者的牙齿表面有黄斑,分布不规则,色素不均匀,部分牙面上还有白垩色的斑块,牙齿的完整形态没有受到影响,也不会导致疼痛、敏感等不适。
牙齿
条纹 · 小坑
牙釉质发育不全牙齿上有凹陷的条纹和坑图
牙釉质发育不全患者牙面上出现较多凹陷,呈条纹形或不规则小坑形,颜色为棕黄色,同时牙面颜色偏黄,无疼痛、敏感等异常症状,建议进行牙齿修复治疗。
牙齿
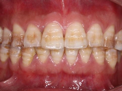
黄斑
牙釉质发育不全牙齿发白长黄斑图
牙釉质发育不全表现为白垩色釉质,牙齿看起来很白,没有正常牙齿的通透性,而且牙齿表面常常出现黄斑,呈点片状或者凹坑样,密密麻麻,大致对称分布。
牙齿
白斑
牙釉质发育不全牙齿有白斑和褐色小坑图
牙釉质发育不全轻度患者牙齿的釉质为白垩色,表现为白斑样,牙釉质没有实质性缺损或仅形成表浅细小的凹陷性小坑,患者应注意口腔卫生,预防龋病。
牙齿
斑
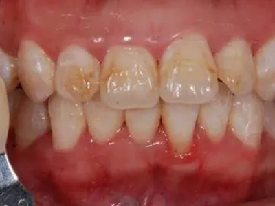
牙釉质发育不全牙齿长斑图
牙釉质发育不全患者的牙齿表面出现棕黑色斑块,形状不规则,分布无规律,患者无明显牙齿疼痛、敏感等异常表现,但是明显影响美观。
牙齿
横沟
牙釉质发育不全牙齿横沟图
牙釉质发育不全患者的前牙中间出现一条横沟,在多个相连牙齿中连成一条线,导致患者的牙齿形态出现改变,不太美观,患牙无疼痛、敏感等异常症状。
牙齿
黄斑
牙釉质发育不全牙齿有黄斑图
牙釉质发育不全主要是牙齿色泽和透明度的改变,多出现在前牙,表现为牙齿表面出现黄斑,形状不规则,此时牙冠形态比较完整,无其他不适症状。
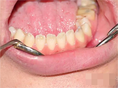
牙齿
小坑
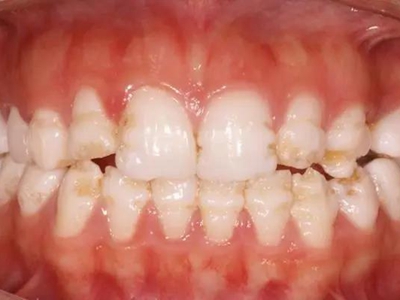
牙釉质发育不全牙齿有褐色小坑图
牙釉质发育不全表现为牙齿表面出现褐色凹陷性小坑,形状大小不等,此处易残留食物而继发龋坏,患者应注意口腔卫生,同时到口腔科就诊治疗。
牙齿
小坑
牙釉质发育不全牙齿有多个小坑图
牙釉质发育不全患者的牙齿表面出现缺损、小坑,小坑内多为黄褐色,患者的牙齿美观度不仅受到影响,而且容易出现龋坏,建议患者及时就医。
牙齿
横沟
牙釉质发育不全牙齿横沟图
牙釉质发育不全患者的牙齿釉质层会变薄,导致牙齿表面出现带状的棕色凹陷,形似横沟,周围还常伴发黄斑以及白斑,影响牙齿美观。
牙齿
发黄
牙釉质发育不全牙齿发黄伴部分缺损图
牙釉质发育不全可导致牙齿发黄,长很多黄色斑块,分布不规则,严重患者牙齿形态改变,牙体部分缺损,咬切和咀嚼食物的功能受到明显影响。
牙齿
黄斑
牙釉质发育不全牙齿黄斑图
牙釉质发育不全表现为牙齿表面釉质局限性缺失,出现横沟样凹陷,凹陷处发黄,是露出来的牙本质的颜色,在极端情况下,牙釉质会完全缺失。
牙齿
坑
牙釉质发育不全牙齿有凹坑图
牙釉质发育不全程度较重时,导致牙面出现棕色的条状、窝状凹陷,表现为牙釉质表面出现较多深色线条,患者可有牙齿敏感的症状。
牙齿
白斑
牙釉质发育不全牙齿白斑图
牙釉质发育不全病情轻微的患者,牙齿形态完整,仅表现为牙齿表面出现白斑,形状不规则,分布无规律,是牙釉质缺损或低于正常水平的疾病,轻者可不用特殊处理。
牙齿
白斑
牙釉质发育不全牙齿有白色斑块图
牙釉质发育不全表现为牙齿上有明显的白色斑块,呈白垩色,像云朵形状。此处牙齿透明度降低或消失,通常是在钙化阶段的创伤造成的。
牙齿
白斑
牙釉质发育不全牙齿表面有白斑图
牙釉质发育不全会使前牙出现白斑,具体为形状不规则的白垩色斑块,伴随牙尖、切缘缺损,导致牙齿畸形,不美观,可进行口腔修复治疗。
牙齿
白斑
牙釉质发育不全牙齿长白斑和黄斑图
牙釉质发育不全表现为牙齿表面出现黄斑和白斑,白斑呈白垩色,黄斑为淡黄至深黄色,患牙的透明度差,形态正常,无自觉症状,不影响进食。
牙齿
白斑
牙釉质发育不全牙齿表面有白斑图
牙釉质发育不全患者牙齿上出现不规则形状的白斑,导致牙齿透明度下降,无疼痛、敏感等自觉症状。患者需要注意防龋,必要时进行修复治疗。
牙齿
白斑
牙釉质发育不全牙齿长白斑图
牙釉质发育不全轻者表现为牙冠形态完整,但有白垩色釉质,可见牙齿表面出现白斑,尤其是前牙好发,患者可使用瓷贴面、烤瓷冠等方法进行修复治疗。
牙齿
白斑
牙釉质发育不全牙齿布满白斑图
牙釉质发育不全患者的牙齿形态完整,釉质呈白垩色改变,表现为牙齿表面布满白色的斑块,导致牙齿的通透性明显降低,牙齿功能正常,有美观需求的患者可使用瓷贴面、烤瓷冠等方法进行修复治疗。
牙齿
白斑
牙釉质发育不全牙齿黄一块白一块图
牙釉质发育不全患者的牙齿表现出现白斑和黄斑,看起来黄一块白一块的,一般是因为疾病、内分泌失调等因素导致牙釉质形成异常,从而导致牙釉质发育不全。
牙齿
白斑
牙釉质发育不全牙齿长白斑和小坑图
牙釉质发育不全患者的上前牙出现白斑,为白垩色、不透明状,同时还有一个较深的小坑,患者可感牙齿表面粗糙,但没有明显的不适症状。
牙齿
条纹
牙釉质发育不全牙齿上有条纹图
牙釉质发育不全表现为牙釉质表面出现较多的条纹以及凹坑,可为褐色或牙齿本来的颜色,用舌头舔时感觉凹凸不平。
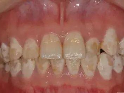
牙齿
白斑 · 黄斑
牙釉质发育不全牙齿表面有白斑和黄斑图
牙釉质发育不全患者牙齿上有白色和黄色的小斑块,黄斑常呈凹陷样,患者无自觉症状,牙齿易磨损、断裂,也容易发生龋齿,可用复合树脂充填修复。
牙齿
黄斑
牙釉质发育不全牙齿发白长黄斑图
牙釉质发育不全会导致牙齿发白,呈白垩色改变,透明度变差,同时牙面上出现黄斑,呈条纹样或者斑片样,牙冠形态基本完整,切缘有出现小的缺损。
牙齿
缺损
牙釉质发育不全牙齿缺损图
牙釉质发育不全严重时导致牙釉质表面大面积缺损,甚至有部分牙尖缺损,牙釉质表面会变得粗糙,对冷、热等刺激可出现激发痛。
牙齿
斑
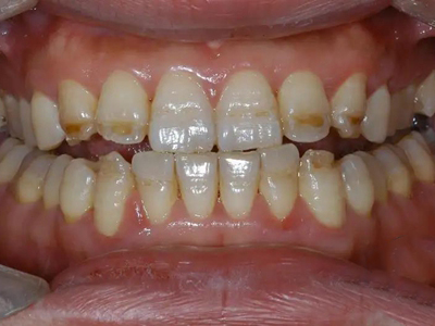
牙釉质发育不全牙上有褐色斑点图
牙釉质发育不全程度相对较轻时,牙釉质表面仍会坚硬而光滑,但可出现白垩色或黄褐色,光泽度稍差,但不会出现敏感、疼痛等自觉症状。
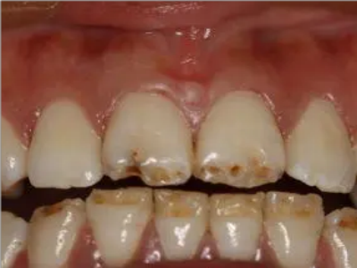
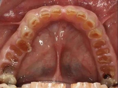
牙齿
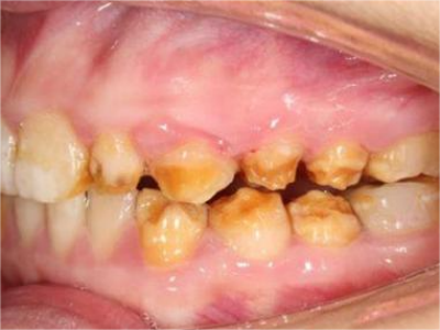
大坑
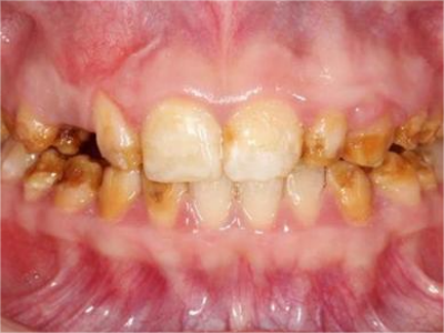
牙釉质发育不全牙齿棕色凹坑图
牙釉质发育不全患者的磨牙表面少了一块,出现凹陷性的大坑,坑内微微泛黄呈棕色,凹凸不平,患者自觉无明显不适症状,建议进行牙齿修复治疗。
牙釉质发育不全相关知识
轻度牙釉质发育不全,通常牙冠形态完整,仅有色泽和透明度改变,可形成白垩色釉质,一般无自觉症状。重度牙釉质发育不全,牙面可出现带状或蜂窝状棕色凹陷。由于致病因素出现在牙发育期,故受累牙往往呈对称性。如果是乳牙根尖周严重感染导致的继承恒牙釉质发育不全,往往见于个别牙,以前磨牙居多。
全身疾病、严重营养障碍、内分泌失调,以及严重的乳牙根尖周感染等因素,可导致牙釉质形成异常,从而导致牙釉质发育不全。
牙釉质发育不全者应预防龋病的发生。对于牙着色或缺陷,可使用复合树脂、烤瓷冠等方法进行修复治疗。
参考文献
[1]张志愿.口腔科学.第9版[M].北京.人民卫生出版社.2018.49-50.
[2]周学东.牙体牙髓病学.第5版[M].北京.人民卫生出版社.2020.46-47.
相关科普
牙釉质发育不全怎么治疗
宫作德
济南市口腔医院
牙釉质发育不全怎么回事
王梅
银川市第二人民医院
牙釉质发育不全是怎么回事
朱远平
宜昌市第二人民医院
牙釉质发育不全怎么治
林哲靖
广州中医药大学深圳医院
牙釉质发育不全能正畸吗
徐俊峰
浙江省立同德医院
中风脑出血严重吗
边玉松
烟台毓璜顶医院
脑血管堵塞能治好吗
陈晨
山西省心血管病医院
脑血管狭窄挂什么科
陈晨
山西省心血管病医院
为什么会眩晕
陈晨
山西省心血管病医院
眼睑痉挛和面肌痉挛的区别有哪些
陈晨
山西省心血管病医院