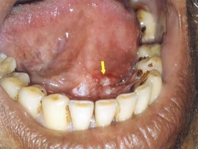
口底癌症状图片

本文由有来医生原创,经专业医师审核校对
所有图片质量和准确性经专业医生严格审查

口底癌是指原发于口底黏膜的癌,居口腔及唇癌的第六位。一般在两侧前磨牙以前称为前口底,在其后称为后口底。多数口底癌为中度分化的鳞癌,极少数为来自口底小唾液腺的腺上皮癌。口底癌的发生与白斑、扁平苔癣等癌前病变的存在,以及烟、酒嗜好等因素有关。

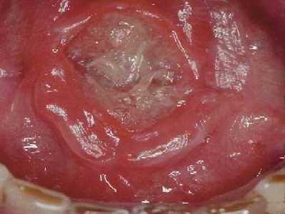
口底癌症状图片

口底癌相关知识

口底癌的发病年龄为40-60岁,多见于舌系带两侧的前口底,局部可出现溃疡或肿块。由于口底区域不大,肿瘤易侵犯舌系带而至对侧,并很快向前侵及牙龈和下颌骨舌侧骨板、骨松质,使下前牙松动,甚至脱落。
发生于后口底者,其恶性程度较前部为高,且易早期侵犯舌腹及下颌骨。晚期肿瘤可侵及牙龈、下颌骨、舌体、咽前柱、舌下腺、下颌下腺导管、下颌下腺及口底肌群。肿瘤侵犯舌体可导致舌运动障碍,固定于口内。
口底癌易发生淋巴结转移,转移率约40%。一般转移至颏下、下颌下区及颈深淋巴结,但大多数先发生下颌下区转移;前口底癌易发生双侧淋巴结转移。远处转移约6%。
口底癌的病因可能与烟酒有关。有咀嚼槟榔、烟草等习惯者被认为容易发生口底癌,但我国民众有此习惯者不多。口底白斑和口腔其他部位的白斑一样,也属于癌前病变,容易发生恶变。
口底癌常采用以手术治疗为主的综合治疗方案。
1、原发灶的处理:由于口底癌早期就可能出现下颌舌侧牙龈及骨板受侵,所以在切除口底癌原发病灶时,常需要同时行下颌骨牙槽突切除术。较晚期的患者还应连同口底肌群及舌下腺一并切除。舌腹受侵者还应做舌体部分切除术。晚期口底癌患者下颌骨明显被侵犯者,应做下颌体部分及口底全切除术。
2、转移癌的处理:口底癌的颈淋巴结转移率较高,与舌癌相似,一般应考虑选择性颈清扫术。早期的前口底癌可行双侧肩胛、舌骨上淋巴清扫术,原发于后口底者较易侵及颈深上组和颈深中组淋巴结群,故应行根治性颈淋巴结清扫术。晚期口底癌应考虑双侧颈淋巴结清扫术。

参考文献

[1]张志愿.口腔科学.第9版[M].北京.人民卫生出版社.2018.174.

[2]北京医师协会组织编写.口腔科诊疗常规[M].北京:中国医药科技出版社,2020.03.213-214.

[3]王玮主编.现代实用口腔医学[M].云南科学技术出版社,2020.07.288-290.

相关科普