特发性网状青斑症状图片

本文由有来医生原创,经专业医师审核校对
所有图片质量和准确性经专业医生严格审查

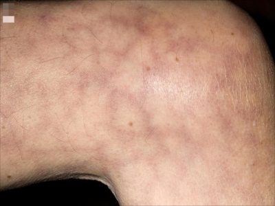
特发性网状青斑是一种少见的功能性皮肤血管痉挛病,病因不明,临床表现为皮肤网状或树枝状紫绀色斑纹,多见于青年女性,发病与季节无关,常在遇冷后加重。

特发性网状青斑症状图片

特发性网状青斑相关知识

特发性网状青斑小腿、前臂或躯干,开始暴露于冷后发生,遇暖后消退,以后经年不愈,在温暖环境中皮损也不完全消失,常有刺痛和麻木感,若为免疫复合物沉积,就由功能性血管病变发展为器质性血管病变,即成为网状青斑血管炎,出现淤斑、出血性丘疹、血疱及皮下结节等损害,部分病例可发生溃疡。
特发性网状青斑病因不明,很少见,严重者小动静脉有内膜炎症变化,组织学检查发现各种程度的网状青斑有小动脉、静脉内膜炎。
特发性网状青斑一般无需治疗,患者需要注意防寒,做好保暖工作,适当进行身体锻炼,病情较重者应卧床休息。

参考文献

[1]王畅.实用皮肤病诊疗手册 ;第5版[M].郑州:河南科学技术出版社.2018.528-529.

[2]吴志华,史建强,李定等主编.皮肤性病诊断与鉴别诊断[M].北京:科学技术文献出版社.2018.476-478.

相关科普