首页
我的
巨乳头性结膜炎症状图片
本文由有来医生原创,经专业医师审核校对
所有图片质量和准确性经专业医生严格审查
张幼梅
主任医师 | 审核医师
郑州大学第一附属医院
|
眼科
巨乳头性结膜炎是一种上睑结膜巨乳头增生的慢性结膜炎,绝大多数与长期佩戴接触镜有关,也有少数患者是由于义眼或者缝线暴露结膜引起。
巨乳头性结膜炎症状图片
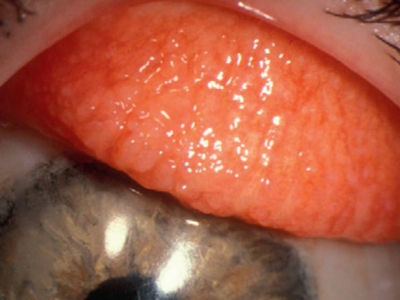
眼睑
疙瘩 · 充血
巨乳头性结膜炎上眼睑内起疙瘩充血图
巨乳头性结膜炎表现为上眼睑充血,局部会出现密集的乳头状凸起,凸出物大小不一,直径在0.3mm左右,像疙瘩一样,伴有明显的瘙痒感。
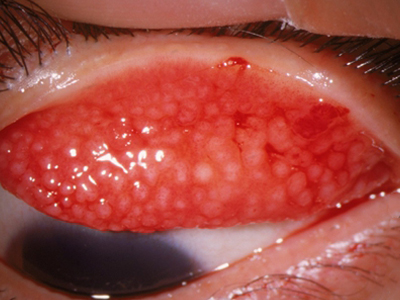
眼睑
丘疹 · 小水疱
巨乳头性结膜炎眼睑充血有小水疱图
巨乳头性结膜炎在上眼睑里面有密集排列的丘疹,像小水疱一样,直径为0.3mm左右,周围黏膜充血、红肿,伴有明显的瘙痒感,眨眼时有异物摩擦感。
眼睑
血丝 · 充血
巨乳头性结膜炎眼睛内充满血丝图
巨乳头性结膜炎初期表现为眼睛充血,眼睑内或角膜处有红血丝,局部轻微肿胀,症状加重时逐渐出现乳头状增生,伴有强烈瘙痒感、摩擦感。
角膜
血丝 · 充血
巨乳头性结膜炎眼睛内充血图
巨乳头性结膜炎患者累及角膜时,眼部充血,出现红血丝,有浅点状角膜病变,伴有瘙痒,症状加重时会在眼睑处出现乳头状增生,需尽早就医治疗,以免影响日常生活。
眼睑
疙瘩 · 充血
巨乳头性结膜炎眼睛内眼睑发红起疙瘩图
巨乳头性结膜炎典型症状为上眼睑内有乳头状增生,像疙瘩一样,局部充血明显,随着症状加重,增生变大,直径在0.3mm左右,巨大者直径大于1mm。
眼睑
红肿 · 小疙瘩
巨乳头性结膜炎眼睛内眼睑发红起小疙瘩图
巨乳头性结膜炎会出现上眼睑红肿,有乳头状增生,像小疙瘩一样,局部红肿明显,伴有黏液性分泌物,症状持续加重,瘙痒明显,眨眼时有异物感,还伴有视物模糊。
眼睑
疙瘩
巨乳头性结膜炎眼睛内眼睑长肉疙瘩图
巨乳头性结膜炎严重时,上眼睑内乳头状增生严重,像肉疙瘩一样,突出部位会遮挡眼球,伴有瘙痒、异物感,还会出现视物模糊的症状,应注意局部护理,及时就医治疗。
眼睑
血丝 · 充血
巨乳头性结膜炎上眼睑有血丝图
巨乳头性结膜炎早期时,上眼睑会出现充血,有红血丝遍布在黏膜上,分布密集,边界清晰,伴有瘙痒、异物感,多因长期佩戴角膜接触镜或义眼导致。
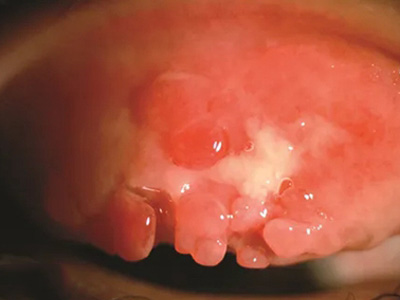
眼睑
肉球
巨乳头性结膜炎上眼睑有肉球图
巨乳头性结膜炎会导致上眼睑有乳头状增生,皮损凸出于皮肤表面,分布密集,像肉球一样,上面附着白色分泌物,常自觉瘙痒、异物感,视物也会受到影响。
眼睑
红肿 · 小疙瘩
巨乳头性结膜炎眼睑内侧有小疙瘩凸出图
巨乳头性结膜炎患者上眼睑内会出现红肿、增生,像小疙瘩一样隆起于皮面,直径一般在0.3mm左右,应及时就医,以免影响日常生活。
眼睑
红肿 · 疙瘩
巨乳头性结膜炎内眼睑长疙瘩图
巨乳头性结膜炎在眼睑内侧观察到一团形态较规则的乳头状疙瘩,玻璃球大小,表面似很多小颗粒聚集而成,病损部位充血、水肿,同时有黏液性分泌物渗出。
眼睑
红肿 · 小红疙瘩
巨乳头性结膜炎眼睑内有小红疙瘩图
巨乳头性结膜炎表现为上眼睑内有乳头状增生,像小红疙瘩一样,局部红肿,有瘙痒感,症状严重时增生逐渐增大,伴有视物模糊等症状。
眼睑
大疙瘩
巨乳头性结膜炎眼睑里有大疙瘩图
巨乳头性结膜炎上眼睑会有乳头状增生,大小不一,巨大者直径大于1mm,像眼睑里有大疙瘩一样,表面有黏性分泌物覆盖,伴有严重瘙痒感。
眼睑
肉粒
巨乳头性结膜炎眼睑有肉粒图
巨乳头性结膜炎患者的眼睑内侧可见到许多突起的肉粒,呈粉红色隆起,形状不规则,分布较簇集,整个眼睑黏膜凹凸不平,其发生与戴角膜接触镜有关。
眼睑
黄斑
巨乳头性结膜炎眼睑有黄斑图
眼睑内侧可出现巨乳头性结膜炎病损,有大片黄斑,呈脓液状粘在上眼睑内侧,微微隆起,伴充血发红,其发生为机械性刺激与超敏反应共同作用的结果。
眼睑
小疙瘩
巨乳头性结膜炎眼睑内侧有密集小疙瘩图
患巨乳头性结膜炎时,会见到眼睑内侧黏膜有密集的小疙瘩,呈粉红色微微隆起于黏膜表面,整个眼睑充血发红,常有瘙痒、眼部异物感等不适。
结膜
红肿 · 充血
巨乳头性结膜炎眼睛充血发红图
巨乳头性结膜炎表现为患者眼结膜充血水肿,下眼睑发红肿胀,眼白布满红血丝,眼球轻度凸出,伴不自觉流泪,随病情进展,出现视力模糊表现。
眼睑
小疙瘩
巨乳头性结膜炎内眼睑发红有小疙瘩图
巨乳头性结膜炎表现为上眼睑内乳头样增生,像小疙瘩一样,突出黏膜表面,呈片状分布,黏膜表面发红肿胀,还会伴有瘙痒感,症状持续加重会有脓液排出。
眼睑
丘疹 · 充血
巨乳头性结膜炎内眼睑发红有一堆小疙瘩图
巨乳头性结膜炎出现在上眼睑时,局部黏膜肿胀、充血,表面有密密麻麻排列的丘疹,像小疙瘩一样,有明显瘙痒感,应注意局部护理,必要时遵医嘱使用药物进行治疗。
眼睑
丘疹 · 血丝
巨乳头性结膜炎内眼睑起多个疙瘩图
巨乳头性结膜炎损害位置明确,在内眼睑上有凸起的乳头状丘疹,像疙瘩一样,呈片状分布,局部自觉肿胀、瘙痒、有异物感,表面有红血丝。
眼睑
红肿 · 大红疙瘩
巨乳头性结膜炎内眼睑肿有大红疙瘩图
巨乳头性结膜炎症状严重时,内眼睑突出明显,局部红肿,表面有突出的丘疹,像大红疙瘩一样,其形态不同,大小不等,会覆盖眼球表面,导致睁眼受限,同时伴有肿胀、瘙痒感。
眼睑
丘疹
巨乳头性结膜炎眼睑上有密密麻麻的小包图
巨乳头性结膜炎症状为上眼睑内乳头状丘疹,像小包一样,覆盖整个内眼睑,自觉有异物感、瘙痒感、摩擦感,肿胀明显时会遮挡眼球,影响视线。
眼睑
红肿 · 小疙瘩
巨乳头性结膜炎内眼睑有突出的小疙瘩图
巨乳头性结膜炎会出现上眼睑乳头状增生,像突出的小疙瘩一样,伴有局部肿胀、发红,严重时眼睑增生严重,会遮挡视线,多因佩戴角膜接触镜或义眼导致。
眼睑
红肿 · 血丝
巨乳头性结膜炎上眼睑发红有小凸起图
巨乳头性结膜炎表现为局部红肿明显,有红血丝,靠近眼球处有一片密集排列的凸起,像小疙瘩一样,自觉瘙痒、肿胀,眨眼时有摩擦感,日常应注意眼部护理。
巨乳头性结膜炎相关知识
巨乳头性结膜炎可表现为眼睛不同程度瘙痒,有黏液性分泌物,可伴有视物模糊。上睑结膜充血,乳头增生,并随着病情的发展,乳头增生更显著,而且变得较粗大,乳头直径一般为0.3mm左右,巨大者直径可大于1mm。
巨乳头性结膜炎多见于戴角膜接触镜,尤其是佩戴材料低劣的软性角膜接触镜者或义眼,其发生与抗原沉积及微创伤有密切的关系,为机械性刺激与超敏反应共同作用的结果。
巨乳头性结膜炎患者应及时更换接触镜,选择高透气性的接触镜或小直径的硬性接触镜,缩短接触镜佩戴时间,加强接触镜的护理,避免使用含有防腐剂及汞等具有潜在抗原活性的护理液。
炎症恶化期间,最好停戴接触镜。义眼必须每日用肥皂清洗,在清水中浸泡,置于干燥的地方备用。同时可在医生指导下使用药物,如复方氨酚苯海拉明片、吲哚美辛肠溶片等。
参考文献
[1]孙兴怀主编.医师考核培训规范教程眼科分册[M].上海.上海科学技术出版社.2016.29.
[2]杨培增,范先群.眼科学.第9版[M].北京.人民卫生出版社.2018.89.
相关科普
巨乳头性结膜炎是怎么回事
管永清
河北医科大学第四医院
巨乳头性结膜炎怎么治疗
管永清
河北医科大学第四医院
痛风性肾病合并高血压如何治疗
段昱方
首都医科大学附属北京中医医院
紧急避孕药什么时候吃
张花
湖北省妇幼保健院
肝功能异常的症状有哪些
李鑫
首都医科大学附属北京地坛医院
子宫内膜癌的早期症状
张慧峰
湖北省肿瘤医院
溃疡性结肠炎是怎么回事
张声生
首都医科大学附属北京中医医院
溃疡性结肠炎能治愈吗
张声生
首都医科大学附属北京中医医院
什么是慢性胃炎
张声生
首都医科大学附属北京中医医院
白花蛇舌草的功效与作用
张涛静
北京中医药大学东方医院