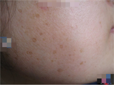
汗孔角化病症状图片

本文由有来医生原创,经专业医师审核校对
所有图片质量和准确性经专业医生严格审查

汗孔角化病以边缘堤状疣状隆起、中央轻度萎缩、组织学上存在角质样板层为特点,是一种较少见的、起源于遗传的慢性进行性角化不全皮肤病。病因尚不明确,本病男性较多见,初发于幼年期,但也有起于成年期者,一般无主观症状,皮损往往持续存在,趋向缓慢和不规则进展。

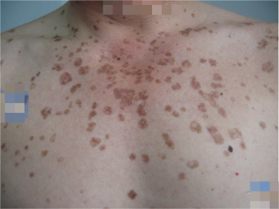
汗孔角化病症状图片

汗孔角化病相关知识

汗孔角化病好发于面部、躯干、四肢等,皮损开始为小的角化丘疹,缓慢向周围扩展成环形、地图形或不规则形的边界清楚的斑片,边缘呈堤状、有沟槽的角质性隆起,灰色或棕色,中心部分皮肤干燥光滑而有轻度萎缩,缺乏毳毛。皮损形态不一,可从细小的角化性丘疹直至巨大的疣状隆起,有时因边缘窄,颜色深而像一圈黑线,或因中央发生新疹而形成多环形。皮损直径大小可自几毫米至几厘米,数目因人而异,从单个至百余个不等,数目多时常呈带状分布于某一区域。
汗孔角化病病因尚不明确,可能与甲羟戊酸激酶基因突变有关,属于常染色体显性遗传性皮肤病。
汗孔角化病可局部外用氟尿嘧啶软膏、维A酸乳膏、他扎罗汀凝胶等,也可口服阿维A胶囊、维胺酯胶囊、异维A酸软胶囊等。在日常生活中应保暖保湿,多穿衣服,洗澡不宜过勤,不宜使用碱性强的洗浴剂,涂抹柔和的护肤品;多食富含维生素A的食物,如胡萝卜、猪肝、白薯、鱼肝油等,多喝水,忌烟、酒、辛辣刺激食物。

参考文献

[1]王宝玺.中华医学百科全书临床医学皮肤病学[M].北京.中国协和医科大学出版社.2017.225-226.

[2]徐金华.医师考核培训规范教程皮肤与性病科分册[M].上海.上海科学技术出版社.2016.128-129.

相关科普