首页
我的
淋菌性咽炎症状图片
本文由有来医生原创,经专业医师审核校对
所有图片质量和准确性经专业医生严格审查
英信江
副主任医师 | 审核医师
上海市第一人民医院
|
耳鼻咽喉-头颈外科
淋菌性咽炎主要见于口交者,所谓“口淫”,西方同性恋或异性恋多见。有咽干不适、咽痛、急性咽炎、扁桃体炎、发热、颈淋巴肿大等,感染症状一般10-12周自行消失,但不易治愈,可作为感染源,有引起播散性淋球菌感染的风险。
淋菌性咽炎症状图片
咽后壁
水疱
淋菌性咽炎咽后壁长了一个水疱图
淋菌性咽炎患者咽后壁出现了一个水疱样病变,疱壁紧张发亮,疱液相对澄清,其基底黏膜微微发红,扁桃体没有明显的病变表现,伴有轻微咽痛、吞咽不适等症状。
咽喉
小水疱
淋菌性咽炎咽喉有散在小水疱图
淋菌性咽炎患者咽喉部长了好几个水疱,呈散在分布,为粟粒至绿豆大小,水疱明显高出咽喉的黏膜,基底及周围黏膜发红,其中一个水疱破裂变扁,中间凹下去。
扁桃体
红肿
淋菌性咽炎扁桃体严重红肿图
淋菌性咽炎双侧扁桃体发生严重肿大,呈扁圆状且发红,近似鹌鹑蛋大小,占据了口腔和喉咙连接处一多半的面积,伴随吞咽困难、口腔异物感等症状。
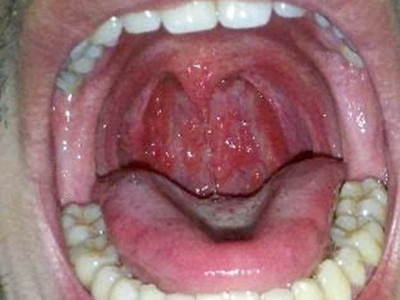
扁桃体
红肿 · 充血
淋菌性咽炎扁桃体肿大图
淋菌性咽炎患者的双侧扁桃体出现肿大样病变,扁桃体由于充血呈鲜红色,肿胀严重,超出双侧扁桃体弓范围。左侧扁桃体有几个粟粒大小的不规则白色脓点,伴有咽痛剧烈、口臭、发热等症状。
咽后壁
红肿
淋菌性咽炎咽后壁红肿图
淋菌性咽炎患者的咽后壁发生炎症反应,出现明显红肿,两侧扁桃体也发生肿大,张口能看到蚕豆大小的鲜红色扁桃体,表面没有明确的炎性分泌物,但是能够看到充血的血丝。
咽喉
溃疡
淋菌性咽炎咽喉部有溃烂图
淋菌性咽炎患者的咽喉最里面后壁出现白色溃烂面,呈椭圆形,大概黄豆大小,边缘与周围黏膜的边界比较明确,溃烂面的四周颜色发红,伴有吞咽疼痛等症状。
咽后壁
小水疱
淋菌性咽炎咽后壁有小水疱图
淋菌性咽炎患者咽后壁发生水疱样皮损,呈散在分布,水疱透明发红,大小不一,为微微凸起的圆形,周围黏膜轻微红肿,由淋病双球菌感染所致,应使用合适的抗生素治疗。
扁桃体
红肿 · 化脓
淋菌性咽炎扁桃体肿大化脓图
淋菌性咽炎双侧扁桃体出现红肿、膨大,由于炎症未得到控制,双侧扁桃体表面形成了好多化脓的黄白色圆块,大小不一,病灶明显高出表面,病情较为严重,应尽快就诊处理。
扁桃体
肿 · 化脓
淋菌性咽炎扁桃体肿大化脓图
淋菌性咽炎患者右侧扁桃体轻微肿起,突出扁桃体窝,露出的部分有一小片黄白色化脓的病灶,没有破裂。随着病情进展,扁桃体逐渐变大,甚至发生破裂流出脓性分泌物。
扁桃体
红肿 · 化脓
淋菌性咽炎扁桃体肿大上面有脓点图
淋菌性咽炎患者嘴巴里的两侧扁桃体严重肿大,快要堵塞咽喉处,由于充血导致扁桃体通体发红。左侧扁桃体偏上位置形成了一个凸起的脓点,颜色发白。
咽喉
红肿 · 化脓
淋菌性咽炎嗓子发红有脓图
淋菌性咽炎表现为口腔扁桃体充血,扁桃体明显变大呈椭圆形,整体颜色鲜红,表面有少量发白的渗出物,伴有吞咽疼痛、吞咽困难等症状,考虑为淋病双球菌感染所致。
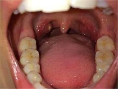
扁桃体
化脓 · 充血
淋菌性咽炎扁桃体化脓图
淋菌性咽炎患者的双侧扁桃体轻微肿胀、充血,右侧扁桃体表面有一块椭圆形的白色脓片。如果局部扁桃体发生破裂,可能伴随出血、流脓等情况。
后颈
肿 · 疙瘩
淋菌性咽炎颈后部淋巴结肿大图
淋菌性咽炎颈后靠近右耳的位置长了一个凸起的疙瘩,发生在皮下,与周围皮肤不存在清楚的分界线,看起来像山丘,大概鹌鹑蛋大小,伴有发热、咽痛等症状。
侧颈
肿
淋菌性咽炎右侧脖子发生肿大图
淋菌性咽炎患者右侧脖子靠下位置肿起来,高出周围皮肤,而且没有很明确的边界,触摸感觉质地相对正常,肿大的皮肤未发生颜色改变,随病情进展可逐渐增大。
侧颈
红肿
淋菌性咽炎脖子发红肿大图
淋菌性咽炎出现左侧下颌及脖子处的淋巴结肿大,脖子左侧能够看到一个鸡蛋大小的凸起,发生在皮下,质地柔软,表面皮肤颜色、质地正常。
侧颈
肿
淋菌性咽炎颈部淋巴结肿大图
淋菌性咽炎患者左侧颈部淋巴结肿大,临床表现为颈部左侧有一个凸起,大概蚕豆大小,与周围皮肤边界不清晰,伴有咽痛、咽喉干痒的症状。
侧颈
肿
淋菌性咽炎颈部局部肿大变粗图
淋菌性咽炎患者的颈部相较于未患病时变得粗大,颈部左侧肿起来的淋巴结和周围皮肤没有明确的界线,皮肤颜色正常,伴有发热、吞咽困难等症状。
淋菌性咽炎相关知识
淋菌性咽炎表现为急性咽炎或急性扁桃体炎,咽部扁桃体充血,表面有渗出物,亦可于悬雍垂、前后腭弓处出现小脓疱,有多数小水疱散布于口咽部,偶伴发热和颈淋巴结肿大,有咽干、咽痛和吞咽痛等表现。
淋菌性咽炎为淋病双球菌感染所致,主要为性接触所致,亦可因咽部带菌者散布引起,两性均可发病,以女性占多数。
淋菌性咽炎可采用药物治疗,如肌肉注射用青霉素钠,青霉素过敏者可用注射用盐酸四环素等。同时注意病人的隔离,防止传播给他人。
参考文献
[1]张学军,郑捷.皮肤性病学.第9版[M].北京.人民卫生出版社.2018.218.
[2]陈谦明.口腔黏膜病学.第5版[M].北京.人民卫生出版社.2020.149.
相关科普
什么是淋菌性咽炎
袁先道
首都医科大学附属北京安贞医院
脑梗死静脉溶栓时间窗
杨永凯
福建医科大学附属福州市第一总医院
脑血管闭塞治愈要多长时间
杨永凯
福建医科大学附属福州市第一总医院
颅内动脉瘤的手术治疗方法
杨永凯
福建医科大学附属福州市第一总医院
鼻息肉手术麻醉方式
冯桂香
三亚市人民医院
什么是小耳畸形
张学强
银川市第一人民医院
小耳畸形的治疗
张学强
银川市第一人民医院
眩晕综合征的病因
张学强
银川市第一人民医院
慢性浅表性胃炎的症状
马玲
银川市第一人民医院
慢性浅表性胃炎禁服的药物有哪些
马玲
银川市第一人民医院