木村病症状图片

本文由有来医生原创,经专业医师审核校对
所有图片质量和准确性经专业医生严格审查

木村病是一种罕见、病因不明,且以淋巴结、软组织和唾液腺损害为主的慢性进行性炎症性疾病,主要见于中国、日本及亚洲东部等国家。患病者常见于青壮年男性,发病高峰在20-30岁,其病程缓慢,进展可持续数年,常见表现为无痛性软组织肿块,多数患者以局部出现肿物就诊,确诊后可根据病情给予治疗。

木村病症状图片

木村病相关知识

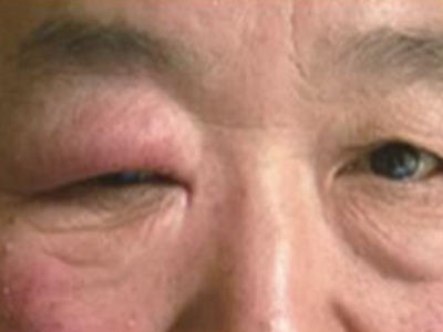
木村病可出现无痛性软组织肿块,多位于头颈区域的皮下软组织内,位置较深,且肿块界限不清晰,活动度差,增长缓慢,可多年无明显变化。局部淋巴结、腮腺、颌下腺等唾液腺常受累肿大,常多个淋巴结受累,有时也可累及腹股沟、腋下及肺门淋巴结。肿大淋巴结不伴随局部皮肤的改变,部位可以粘连。并且皮肤会肿胀伴瘙痒,多发生于肿块处皮肤,可有斑点状皮疹及渗出。
木村病具体病因尚不明确,可能与自身免疫、过敏反应、内分泌紊乱、肿瘤、寄生虫感染等因素有关。
木村病如果为局限的单个病变可给予手术切除,并视情况辅以放射治疗,如无临床症状可随访观察。

参考文献

[1]杨高怡,张文智,徐栋主编.浅表淋巴疾病超声诊断[M].中华医学电子音像出版社,2019.04.407-412.

[2]王振常,鲜军舫,燕飞,赵鹏飞译;(美)贝尔纳黛特·L.科.国际经典影像诊断学丛书 ;头颈部影像诊断学[M].江苏凤凰科学技术出版社,2019.06.329-330.

[3]王劲,张水兴主编.普通外科MRI解剖与诊断图谱[M].广州:广东科技出版社,2017.06.16-17.

[4]张震康,俞光岩,徐韬.实用口腔科学.第4版[M].北京.人民卫生出版社.2016.291.

相关科普