粘膜有粘着性白斑 (9)
粘膜有粘着性白斑 (8)
粘膜有粘着性白斑 (7)
粘膜有粘着性白斑 (6)
粘膜有粘着性白斑 (5)
粘膜有粘着性白斑 (4)
粘膜有粘着性白斑 (3)
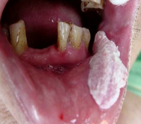
粘膜有粘着性白斑 (2)
粘膜有粘着性白斑 (17)
粘膜有粘着性白斑 (16)
上滑加载更多...