口腔血泡 (9)
口腔血泡 (8)
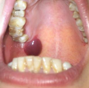
口腔血泡 (7)
口腔血泡 (6)
口腔血泡 (53)
口腔血泡 (52)
口腔血泡 (51)
口腔血泡 (50)
口腔血泡 (5)
口腔血泡 (49)
上滑加载更多...