概述
口腔念珠菌病是由于念珠菌感染引起,患者可出现口干、发黏、口腔黏膜烧灼感等,患处可出现黏膜发红、白色斑块等症状。
症状
口腔念珠菌病可分为急性假膜型念珠菌病、急性红斑型念珠菌病、慢性红斑型念珠菌病、慢性增殖性念珠菌病、慢性黏膜皮肤念珠菌病,具体如下:
急性假膜型念珠菌病:病损可发生于口腔黏膜的任何部位,表现为口腔黏膜上出现乳白色绒状膜,为白色念珠菌的菌丝及坏死脱落的上皮汇集而成。轻时病变周围的黏膜无明显变化,重时则四周黏膜充血发红。患者自觉症状为口干、烧灼不适、轻微疼痛。

急性红斑型念珠菌病:此型多见于大量应用抗生素或激素的患者。临床表现为黏膜上出现弥散的红斑,以舌黏膜多见,严重时舌背黏膜呈鲜红色并有舌乳头萎缩,自觉症状主要为口干,也可能有烧灼感及疼痛。

慢性红斑型念珠菌病:此型又称为义齿性口炎,因其多发生于戴义齿的患者。临床表现为义齿的承托区黏膜广泛发红,形成鲜红色、界限弥散的红斑,可见红斑表面有颗粒形成。

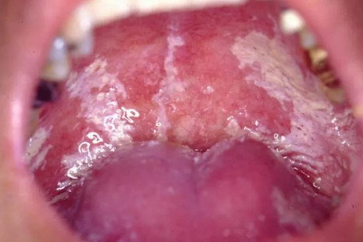
慢性增殖性念珠菌病:临床表现为黏膜上有白色斑块,为白斑样增生及角化病变,黏膜上亦间断有红色斑块。严重时白斑表面有颗粒增生,黏膜失去弹性,自觉症状为口干、烧灼感及轻微疼痛。

慢性黏膜皮肤念珠菌病:其临床表现多样化,可以有组织萎缩或组织增生,口腔黏膜红斑反复发作。

病因
口腔念珠菌病病因可以从病原菌和致病诱因两方面进行分析,具体如下:
病原菌:主要是白色念珠菌,在某些致病因素的影响下,白色念珠菌孢子可生出嫩芽,并逐渐向顶端延长、分枝,长成新的菌丝体而繁殖。
致病诱因:包括白色念珠菌本身毒力增强、宿主的防御功能降低、代谢性或内分泌疾病,或者大量应用免疫抑制剂如激素等,都可能会使宿主易感染白色念珠菌。
治疗
口腔念珠菌病治疗原则是选用合适的抗菌药物,同时停用或少用抗生素、糖皮质激素,改善口腔环境,使口腔pH值偏碱性。常用抗真菌药物有氟康唑、伊曲康唑、伏立康唑等。
参考文献
[1]徐国权等主编.口腔临床技术与临床实践[M].长春:吉林科学技术出版社,2019.03.146-151.
[2]陈彬主编.现代口腔科诊疗精要[M].哈尔滨:黑龙江科学技术出版社,2019.05.133-138.
